ВХОД ДЛЯ ПАЦИЕНТОВ
вверх
поиск
админ
главная
|
повреждение таза с необычным смещением |
 |
 |
 |
Прислано Maxim Agalakov 08 Июль 2018, 23:40
из
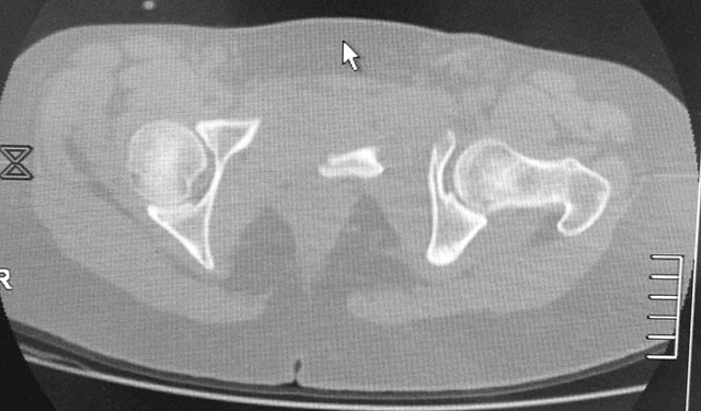
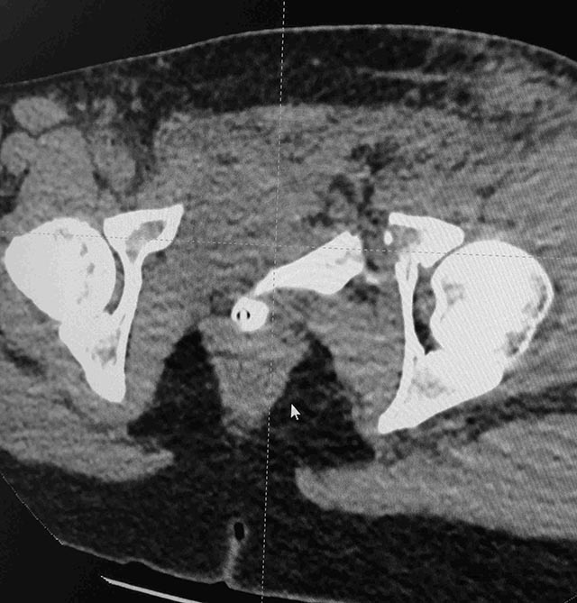
Женщина,21, социальна, без вредных превычек, сбита авто.
Кожа не повреждена. Других повреждений нет. Гемодинамически стабильна. травме 2 сут. Планируем спереди открыто через Stoppa, далее сзади крестец и ость закрыто (крестец может через обе массы?). Интересует мнение по альтернативным вариантам и по предложенному (tricks and shots). Заранее благодарен.
PS Только часть скринов с body scan, один с контрастированием пузыря.
Обратите внимание: Поля с жирными названиями обязательны.
Старайтесь отвечать в рамках обсуждаемой темы, а не начинать новые обсуждения.
Указывайте адекватную тему сообщения, чтобы было ясно, о чем оно.
Не послайте сообщений не по теме (оффтопик), раздраженных, грубых или обидных комментариев. Здесь это неуместно.
|