Ответить
|
Re: Лодыжки
Сергей 24 Февраль 2019, 23:32
|

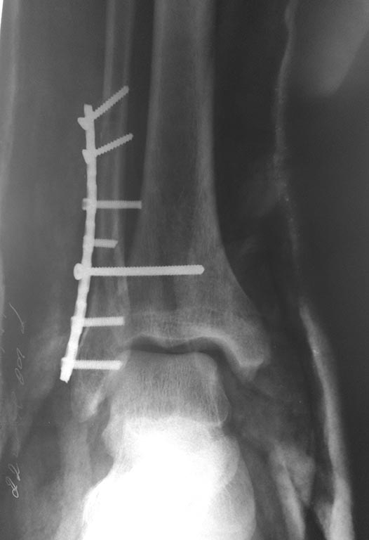
интраоперационно
|
[
Ответить ]
|
Re: Лодыжки
Сергей 24 Февраль 2019, 23:37
|

на следующий день
|
[
Ответить ]
|
Re: Лодыжки
Иван 25 Февраль 2019, 15:29
|
Перелом несвежий, понимаю. Жаль нет снимка первичного. Не совсем ясен уровень перелома (и его протяженность малоберцовой кости).
Ошибки у Вас интраоперационные -
1 - не восстановлена длина наружной лодыжки, сохраняется укорочение. Поэтому таранная кость смещена латерально и кпереди.
2 - я бы не стал использовать реконструктивную пластину.
3 - Ревизия дельтовидной связки сделана?
Мой вывод - показан реостеосинтез.
Выложите снимок первичный. Подскажем.
|
[
Ответить ]
|
Re: Лодыжки
Дедок Михаил 25 Февраль 2019, 23:28
|
Вся беда в том, что снимки в операционной и после с разной ротацией голени. Репозиция нар. лодыжки не гут. Подвывих есть. Перфекционизм требует реостеосинтеза. Ваши действия будут зависеть от возраста, местного статуса, психики пациента и умения убедить без вреда для себя. Пластина не причём. Много лодыжек прооперировали реконструктивными пластинами. Главное репозиция.
|
[
Ответить ]
|
Re: Лодыжки
Cергей 26 Февраль 2019, 18:31
|
Моё мнение, что ничего переделывать не нужно. Подвывиха стопы кнаружи у пациента нет. Есть подвывих кзади, так как пластинка лежит по передней поверхности малоберцовой кости, а синдесмозный винт выталкивает таранку кзади. Может через 2-2.5 мес после операции удалить винт, а может после нагрузки без удаления винта подвывих кзади устранится.
|
[
Ответить ]
|
Re: Лодыжки
Отправитель: Антон Андранов 02 Март 2019, 18:03
|
Похоже, что вся проблема в неудачной позиции пластны и позиционного винта.При возможности установить пару опор Илизарова,убрав этот винт, стопу можно мягко вправить.Дать парционную нагрузку, через 5 недель снять аппарат. Если просто сейчас убрать винт, может сформроваться нестабильность.TJS
|
[
Ответить ]
|
|
Re: Лодыжки
Sereda Andrey 27 Февраль 2019, 19:24
|
Нет подвывиха.
А по поводу удаления винта вот интересно:
Whether or not the syndesmotic screw has to be removed prior to weight-bearing is still subject to debate. Proponents of this policy state that tibiofibular movement is affected by leaving the screw in place and dorsiflexion is hampered [33, 34]. This is accompanied by the possibility of breakage of the screw when left in place [35]. Prominent reference books [36, 37] in the field of fracture care still advocate removal of the syndesmotic screw prior to weight-bearing at 6–8 weeks, which to date, influence current practice [38, 39]. However, this statement has been disputed since the late 1950s and early 1960s [33, 40–44]. In 1985, De Souza et al. [45] showed that in a group of 30 patients with a syndesmotic screw, of which 12 were left in place, no difference in outcome, pain and motion between retained and removed screws could be detected after an average of 36 months. In addition, leaving the screw in place saves the patient from one extra surgical procedure, including its possible complications.
|
[
Ответить ]
|
Re: Лодыжки
Отправитель: Иван 28 Февраль 2019, 10:37
|
Перевод - "...Вопрос о том, должен ли быть удален позиционный винт перед разрешением обычной нагрузки на конечность, все еще остается предметом дискуссий. Сторонники этой политики утверждают, что на движения в голеностопном суставе отрицательно влияет оставление винта [33, 34]. Это сопровождается возможностью перелома винта [35]. Ведущие руководства [36, 37] в области лечения переломов до сих пор выступают за удаление винта через 6–8 недель от операции, до разрешения полной опоры на конечность, что на сегодняшний день определяет текущую тактику лечения [38, 39]. Однако это утверждение оспаривается с конца 1950-х и начала 1960-х годов [33, 40–44]. В 1985 году De Souza и другие [45] показали, что в группе из 30 пациентов с установленным позиционным винтом, из которых у 12 винт не удалялся, никакой разницы в исходе, боли и движении между пациентами с оставленными и удаленными винтами не обнаружено в среднем через 36 месяцев. Кроме того, оставление винта спасает пациента от дополнительной хирургической операции, включая возможные осложнения."
От себя - Если мы выложим снимки наших позиционных винтов - мы немного удивимся. Ставим разное и по-разному. Смотря ведущие руководства.
|
[
Ответить ]
|
|
Re: Лодыжки
дедок 27 Февраль 2019, 23:22
|
мнения "ученых" разделились :)
|
[
Ответить ]
|
Re: Лодыжки
Отправитель: Иван 28 Февраль 2019, 10:06
|
++++
Помогли коллеге :)
|
[
Ответить ]
|
Re: Лодыжки
Отправитель: Sereda Andrey 28 Февраль 2019, 12:06
|
Тогда я уточню. При совокупности имеющихся на месте возможностей баланс риск/польза говорит о том, что вывиха нет.
"Главное в физике - умение пренебрегать". Ландау (С), по моему.
|
[
Ответить ]
|
|
Re: Лодыжки
Maksim Agalakov 03 Март 2019, 11:20
|
Коллеги! Вы о чем? Лодыжка фактически не фиксирована (1 винт не в счет при таком расположениии пластины). М/б притянута куда-то к передним отделам "позиционником" - если хотите убедиться сделайте КТ и посмотрите сканы через вырезку. Мое мнение - срочно все это разбирать. Синтезировать н/лодыжку пластиной в противоскользящем положении. затем тестировать синдесмоз. А уж потом размышлять - нужно ли его фиксировать и если да - то чем.
PS Первичные снимки!!!
|
[
Ответить ]
|
Re: Лодыжки
Ю. В. А. 03 Март 2019, 13:18
|
Перелом надсиндесмозный. Лодыжка фиксирована все-таки 2 винтами. а вот синдесмозный винт вроде бы стоит уже в переломе и просто прижимает пластину к большеберцовой кости. на счет реостеосинтеза даже не знаю, но вроде бы послеоперационные снимки сделаны с небольшим вальгусом стопы. Есть ли снимки в нейтральной позиции стопы?
|
[
Ответить ]
|
Re: Лодыжки
Сергей К. 03 Март 2019, 13:36
|

Здравствуйте. Есть рентгенограмма с переложенной гипсовой повязкой в нейтральной позиции, но только прямая проекция.
|
[
Ответить ]
|
Re: Лодыжки
Отправитель: Maksim Agalakov 03 Март 2019, 14:37
|
остаюсь при своем мнении, боковая проекция здесь куда интереснее. И личная просьба - сжимайте снимки, на сайте есть подробная инструкция.
|
[
Ответить ]
|
|
Re: Лодыжки
Ю. В. А. 03 Март 2019, 13:53
|
Я согласен с Андреем Петровичем. Чтобы выполнять реостеосинтез, нужно знать, что вы точно хотите улучшить и чем вы готовы пожертвовать (от осложнений никто не застрахован, а после реостеосинтеза шансы на это резко возрастают). На последней рентгенограмме подвывиха не вижу. На счет позиционного винта - мы бы удалили через 6-8 недель и интраоперационно выполнили бы рентгенконтроль.
|
[
Ответить ]
|
Re: Лодыжки
Данила Курышев 03 Март 2019, 16:26
|
Если внимательно посмотреть снимки, один из винтов, удерживающих пластину, совершенно точно упёрся в большеберцовую (он даже полностью не погружён в блокирующее отверстие). Скорее всего он отодвинул фибулу. Позиционный винт лишь зафиксировал такую позицию. Можно поменять винт на короткий и перепровести позиционный малоинвазивно, ИМХО. С уважением!
|
[
Ответить ]
|
Re: Лодыжки
Отправитель: Maksim Agalakov 03 Март 2019, 23:05
|
этот винт лишь вишенка на торте, тоже обратил на него внимание.
|
[
Ответить ]
|
Re: Лодыжки
Отправитель: Геннадий Тенисон 15 Март 2019, 15:09
|
Комментировать остеосинтез не буду. Но просто хочу напомнить, что существует такой инструмент как измеритель глубины каналов. ,,Позиционник'' не должен ничего прижимать. Положение пластины на малоберцовой кости в этом случае желательно - заднее (опорная, противоскользящая) Не знаю, делался ли hook test? В моем видении передняя межберцовая связка д.б. цела -по характеру линии перелома наружной лодыжки. В этом случае зачем позиционный винт? Был ли поврежден медиальный комплекс (порции дельтовидной связки)? Надо ли что-то сейчас делать? Не знаю. Надо взвесить много факторов. Желаю удачи авторам в общении с пациентом.T
|
[
Ответить ]
|
|
Re: Лодыжки
Danil Bliznets 18 Март 2019, 22:03
|
Я бы переделал. Считаю, что подвывих есть. Наружная лодыжка сильно короткая и находится совсем не в своей вырезке (отсюда и передний ещё подвывих). Гипсом (как на последнем снимке) ситуацию не выправишь, потому что гипс когда-нибудь придётся снять, и всё вернётся, куда и должно, в соответствии с биомеханикой. Верить в то, что с удалением винта всё станет на свои места, я бы тоже не стал. Такое возможно при передавливании синдесмоза, да. Но тут совсем другие проблемы. Если у Вас всё ещё есть сомнения, сделайте КТ - и всё увидите.
|
[
Ответить ]
|
( Ответить )
|