AOTRAUMA.ORG Центр Илизарова  

Ортопедия и травматология Общие вопросы/General questions Help Информационные технологии в медицине
 вверх
 отправить
 поиск
 админ
 главная


синтез или э/протезирование?
Ортопедия и травматология Отправлено Сергей 14 Январь 2021, 14:48
Уважаемые коллеги, добрый вечер.

Больная, 77 лет. Соматически и психически сохранная.Есть смысл синтезировать шейку цефаломедуллярным фиксатором или сразу-эндопротез? Если сразу э/протез-смущают субкортикальнын кисты суставных поверхностей.

Ложный сустав ключицы | Репозиция  >

 

  • Сообщения о Ортопедия и травматология
  • Также Сергей
  • Связаться с автором
  • Ответить

    Re: синтез или э/протезирование?
    Сергей 20 Январь 2021, 14:00
    В общем отказали в операции из-за психических нарушений.
    [ Ответить ]

    • Re: синтез или э/протезирование?
      Отправитель: Alexander Chelnokov 01 Февраль 2021, 14:49
      А психические нарушения у кого? Если у пациента - то это не причина для отказа от операции. Если давление и пульс есть, надо синтезировать, активизировать, возвращать в привычное окружение - вот контакт с реальностью и восстановится.

      [ Ответить ]
    Re: синтез или э/протезирование?
    Бережной Сергей Юрьевич 23 Январь 2021, 23:53
    Неделю без операции пролежала, вот и психические нарушения появились у соматически и психически сохранной. Нужно быстро делать.
    [ Ответить ]

    Re: синтез или э/протезирование?
    Alexander Chelnokov 01 Февраль 2021, 14:47
    Зачем КТ, лучше обычную рентгенограмму посмотреть бы. Конечно, надо синтезировать PFN.
    [ Ответить ]

    Re: синтез или э/протезирование?
    Сергей 01 Февраль 2021, 19:03
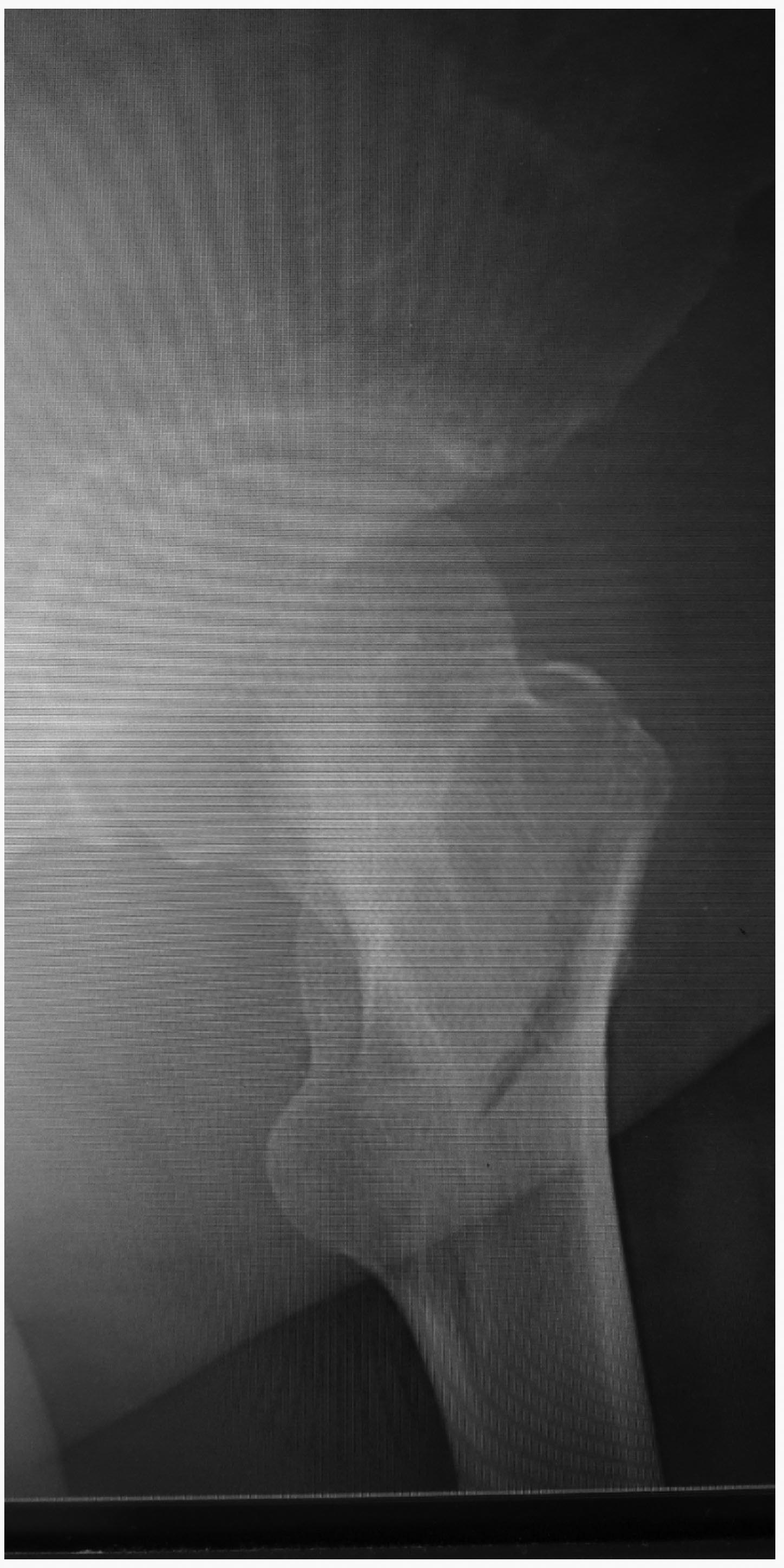
    Спасибо. Исходно,больная не вызывала впечатление с нарушениями психики, т.к. наблюдали ее днем.В ночные часы больная ходила по палате(на сломанной ноге), не спала, не давала соседкам. Сначала не понятно было, что это, эпизод как реакция на стресс или стойкие нарушения. Днем больная вела себя спокойно. Только при более детальном общении с ней, в т.ч. и психиатра, стало ясно, что присутствуют стойкие нарушения психики, в т.ч. высокая вероятность не соблюдения операции в п/о периоде. Вопрос об операции сформировался на 2 день от поступления и был отправлен на сайт и был о выборе операции. Сначала я ссразу подумал о Y-гвозде по Р-граммам, но решил сделать КТ, где подтвердился субкапитальный, вколоченный перелом шейки.
    Поэтому возник вопрос. Больше склонялся к синтезу. Выявленные нарушения психики нас остановили, даже от него. Больная не лежала эти дни, а наоборот была необычайно активна( так,что ходила на сломанной ноге)
    [ Ответить ]

    • Re: синтез или э/протезирование?
      Отправитель: Alexander Chelnokov 02 Февраль 2021, 11:18
      т.к. наблюдали ее днем.

      Коллеги, о чем вообще речь, как можно, зная о переломе проксимального отдела бедра у пожилого пациента, не лечить, а "наблюдать"?
      Какой "Вопрос об операции сформировался на 2 день от поступления"? "Вопрос" еще может быть первые 15-20 минут с момента прибытия в приемное отделение до снимков, но после них уже есть ответ. Дальше уже идет активная подготовка к операции.
      То есть выполняется остеосинтез в ближайшие часы, и пусть себе ночами после этого "ходит на сломанной ноге". Лучше еще и дома.

      [ Ответить ]
    Re: синтез или э/протезирование?
    Сергей 01 Февраль 2021, 19:18
    По поводу психических нарушений. Не всегда операция, позволяет "вернуть" голову на место. Простите за слоган. Сейчас находится пациентка, которую не смотря на легкую деменцию синтезировали Y- проксимальное бедро. Она 5 сутки на вязках, т.к. психомоторное возбуждение, которое немного гасит Хлорпротиксен. Больная не выполняет команды, агрессивна, с отсутствием критики. Исходно были предпосылки, но не критичные, чтобы отказать в операции. Прооперировали, пока вижу только ухудшение по психике. Конечно может еще восстановится, только вопрос когда? Реаб.центр таких больных не возьмет, инструктор поставить ее не берется пока, больная совершенно не критична... получается что прогноз психиатра о том что больная скорее всего не будет п/о выполнять команды имеет значение. Только остается надеятся, что операция все таки поможет родственникам ухаживать за больной дома и м.б.больная все таки пойдет.
    [ Ответить ]

    • Re: синтез или э/протезирование?
      Отправитель: Сергей 01 Февраль 2021, 19:29
      А так, я больше склонялся к синтезу Y гвоздем, не смотря на перелом и шейки и вертельной области. Интересовало мнение коллег.Rn - граммы конечно есть, качество скромное очень. Даже по ним видно что перелом и шейки и верт.области, по КТ нагляднее.Спасибо.

      [ Ответить ]
    • Re: синтез или э/протезирование?
      Отправитель: Alexander Chelnokov 02 Февраль 2021, 11:23
      Не всегда операция, позволяет "вернуть" голову на место.

      И нет такой задачи. Среди наших пациентов добрая половина с деменцией, часть из них вообще "не с нами" - это не повод оставлять нефиксированный перелом крупной кости.
      Пошел в операционную - вечером очередной pertroch поступил, оставили на сегодня - дежурные не успели прооперировать, занимались тяжелой политравной с переломом двух бедер.

      [ Ответить ]
      • Re: синтез или э/протезирование?
        Отправитель: Сергей 02 Февраль 2021, 14:25
        Да,спасибо. Организационно, в лучшем случае возможно выполнить на 2 сутки у нас. Я сам стремлюсь не затягивать лечение. По дежурству мы не оперируем такие переломы. Все упирается в организацию. Чего не хватает говорить не буду, примерно у всех одно и то же( где то чего то или кого то нет). А так на все 100 за быструю операцию.Еще раз спасибо.

        [ Ответить ]
    Re: синтез или э/протезирование?
    Ильдар Ахтямов 05 Февраль 2021, 15:48
    Тотальный цементный протез. Нет проблем.
    [ Ответить ]

    Re: синтез или э/протезирование?
    Kudinow Konstantin 05 Февраль 2021, 15:51
    DHS либо "Гамма". Спротезировать всегда успеете.
    [ Ответить ]

    Re: синтез или э/протезирование?
    Bagrat Grigoryan 05 Февраль 2021, 15:52
    Остеосинтез однозначно

    С уважением GBS
    [ Ответить ]


    ( Ответить )

    Powered by Zope  Squishdot Powered MedLink
    Посетитель: 0183401
      "По форме правильно, а по существу - издевательство" В.И.Ленин
    ©2001-2019Orthoforum Coordinator.
    [ Главная | Отправить сообщение | Поиск | Админ ]