AOTRAUMA.ORG Центр Илизарова  

Ортопедия и травматология Общие вопросы/General questions Help Информационные технологии в медицине
 вверх
 отправить
 поиск
 админ
 главная


Перипротезный перелом
Ортопедия и травматология Отправлено Расул 13 Октябрь 2021, 20:47
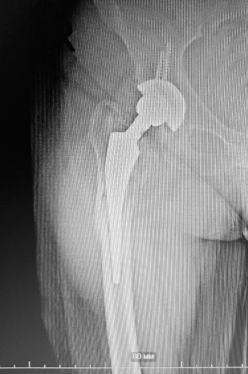
Доброго времени суток . Нужна Ваша помощь в принятии дальнейшей тактики ведения пациента.

Пациентка М. 1966г.р. , 10.10.21 через 1 час после падения с высоты роста поступила в отделение травматологии с диагнозом : Перипротезный перелом проксимального отдела правой бедренной кости.ТЭП правого т\бедр. сустава от 2014г.
Сопутствующие заболевания : ГБ
На данный момент находится на скелетном вытяжении.Дайте пожалуйста совет по дальнейшей тактике ведения пациента. Фото прилагается.

Ищу работу травматологом в Санкт-Петербурге | Молодой травматолог ищет работу  >

 

  • Сообщения о Ортопедия и травматология
  • Также Расул
  • Связаться с автором
  • Ответить

    Re: Перипротезный перелом
    Игорь 18 Октябрь 2021, 00:45
    Здравствуйте.
    Ваш снимок только в одной проекции. Насколько можно судить это Ванкувер 2, по одноимённой классификации, ножка протеза нестабильна. Я бы рекомендовал ревизию с заменой рожки протеза на более длинную с диафизарной фиксацией, например Ревитан от Циммер/Биомет, и церкляжами.
    [ Ответить ]

    Re: Перипротезный перелом
    Alexander Chelnokov 18 Октябрь 2021, 12:28
    Если есть возможность заказать на предприятии ЦИТО перипротезный гвоздь - это было бы отличное решение проблемы.
    [ Ответить ]

    Re: Перипротезный перелом
    Paul 19 Октябрь 2021, 10:28
    Перипротезный гвоздь - то, что в данном случае нужно сделать!
    [ Ответить ]

    Re: Перипротезный перелом
    Игорь 23 Октябрь 2021, 01:15
    Уважаемые Alexander Chelnokov или Paul,
    объясните пожалуйста как это должно работать в данном случае.
    Вы предлагаете фиксировать дистальный фрагмент в диафизе с помощью гвоздя и не фиксировать межвертельный участок? Как долго нужно ходить с костылями и что делать с недостаточностью ягодичной мышцы?
    Должен отметить очень элегантное решение для переломов под протезом. Если в колене не стоит уже протез.

    Расул, что вы выбрали?


    [ Ответить ]

    Re: Перипротезный перелом
    Anatol 24 Ноябрь 2021, 22:51
    При отсутствии возможности и опыта ревизионного эндопротезирования а также ретроградной интрамедуллярной фиксации ножки в данном случае, я думаю можно выполнить накостный остеосинтез длинной перевёрнутой бедренной мыщелковой пластиной в данном случае левой, предпочтительно с угловой стабильностью по типу мостовидного остеосинтеза с фиксацией в вертельной области и дистальнее конца ножки. После консолидации перелома возможно встанет вопрос о ревизионном эндопротезирование при нестабильности ножки. Но тогда можно будет обойтись без ревизионной версии ножки.
    [ Ответить ]


    ( Ответить )

    Powered by Zope  Squishdot Powered MedLink
    Посетитель: 0191046
      "По форме правильно, а по существу - издевательство" В.И.Ленин
    ©2001-2019Orthoforum Coordinator.
    [ Главная | Отправить сообщение | Поиск | Админ ]