Добро пожаловать в Форум для пациентов
Взрослая ортопедия Детская ортопедия Последствия травмы Травма

Федеральное государственное учреждение "Уральский научно-исследовательский институт травматологии и ортопедии им. В.Д.Чаклина Росмедтехнологий"

Перелом надмыщелка
 вверх
 отправить
 поиск
 админ
 главная


Перелом надмыщелка
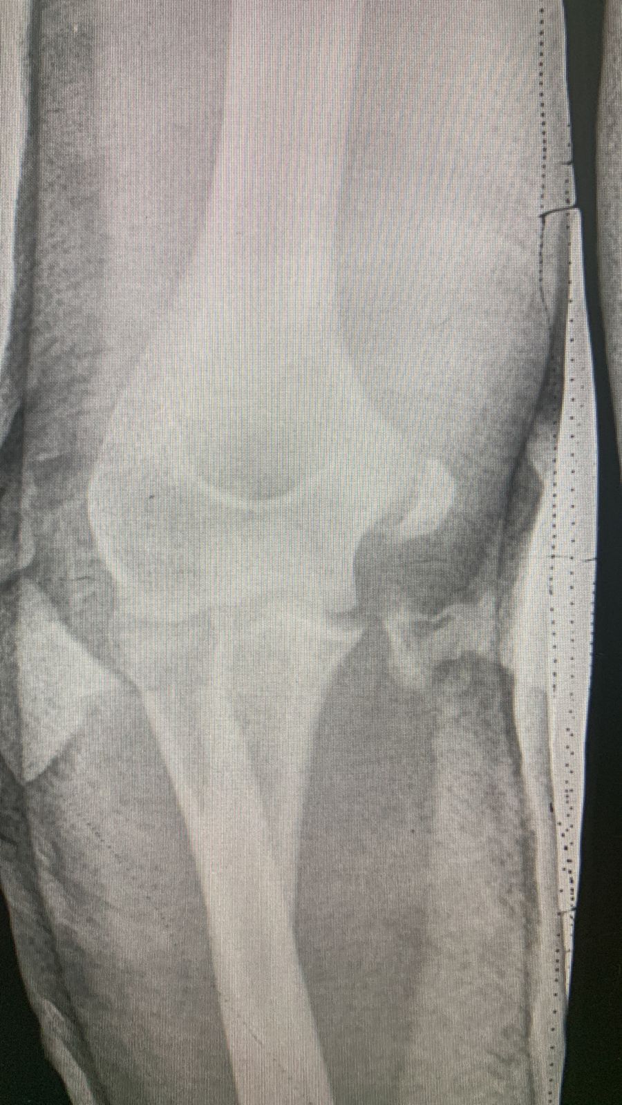
Детская ортопедия Отправлено Антон 18 Июль 2022, 12:43
Месяц назад сломал вроде как медиальный надмыщелок,отходил в гипсе 1 месяц и неделю.
По итогу один врач говорит,что кость не срастается,но снял гипс.При всем при этом сказал,чтобы я разрабатывал руку и если за 2 месяца она не срастётся,то придётся убирать обломок.Другой же врач говорит,что туда не надо лезть,все должно зажить и также посоветовал разрабатывать.Кому верить и что делать?

Патология бедренной кости | Копчик  >

 

  • Сообщения о Детская ортопедия
  • Также Антон
  • Связаться с автором
  • Файл-вложение
  • Кликните для загрузки файла IMG-20220717-WA0006.jpg
    312KB (320038 bytes)

  • Ответить/комментировать

    Powered by Zope  Squishdot Powered MedLink
    Посетитель: 03921
      "По форме правильно, а по существу - издевательство" В.И.Ленин
    ©2001-200124Patients Coordinator.
    [ Главная | Отправить сообщение | Поиск | Админ ]