[Ortho] Патологические переломы плеча

alexander chelnokov alex61 на gmail.com
Ср Авг 1 22:50:22 YEKST 2007


Dear коллеги,

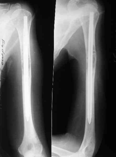
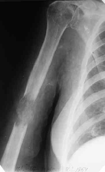
Женщина 53 лет получила патологический перелом правого плеча в
феварле, и левого в марте - mts из невыясненного первичного очага.
Онкологи провели облучение, руки на косынки, время от времени
наблюдают, вводили зомету.
На нас вышли родственники. Состояние пациентки уже не очень, анемия
(Hb -50-60 г/л), исхудалв, но асцита нет, в легких чисто. Поскольку
женщина совершенно беспомощна, решили сделать остеосиннтез.
Анестезиологи упирались всеми конечностями, отказывались наркоз давать
дольше, чем на 15-20 мин.
Сегодня сделали, Fixion диаметром 7,4 мм. Обе пперации продолжались по
7 мин. Картинки в приложении. Наркоз был диприваном, на спонтанном
дыхании. По крайней мере, пока довольны хотя бы анестезиологи, похоже,
не верили, что управимся меньше, чем за час ;-)

Гвоздик 7,4 расширяется до 11 мм. Не маловато ли, судя по снимкам?
Очередной раз обнаружилось, что нету у нас с онкологами
общей идеологии. И сами они пациентам кости не стабилизируют, и к
ортопедам не направляют, накладывают гипс по самые уши - и домой. Как
у вас с этим обстоит, если удалось наладить взаимосвязь, то как?



-- 
Best regards,
 Alexander N. Chelnokov
Ural Scientific Research Institute 
of Traumatology and Orthopaedics
7, Bankovsky str. Ekaterinburg 620014 Russia
----------- следущая часть -----------
Вложение не в текстовом формате было извлечено…
Имя     : get_image8.jpg
Тип     : image/jpeg
Размер  : 9120 байтов
Описание: отсутствует
Url     : http://weborto.net:8080/pipermail/ortho/attachments/20070801/89151f6a/attachment-0008.jpg 
----------- следущая часть -----------
Вложение не в текстовом формате было извлечено…
Имя     : get_image1.jpg
Тип     : image/jpeg
Размер  : 7218 байтов
Описание: отсутствует
Url     : http://weborto.net:8080/pipermail/ortho/attachments/20070801/89151f6a/attachment-0009.jpg 
----------- следущая часть -----------
Вложение не в текстовом формате было извлечено…
Имя     : get_image2.jpg
Тип     : image/jpeg
Размер  : 4873 байтов
Описание: отсутствует
Url     : http://weborto.net:8080/pipermail/ortho/attachments/20070801/89151f6a/attachment-0010.jpg 
----------- следущая часть -----------
Вложение не в текстовом формате было извлечено…
Имя     : get_image3.jpg
Тип     : image/jpeg
Размер  : 13499 байтов
Описание: отсутствует
Url     : http://weborto.net:8080/pipermail/ortho/attachments/20070801/89151f6a/attachment-0011.jpg 
----------- следущая часть -----------
Вложение не в текстовом формате было извлечено…
Имя     : get_image4.jpg
Тип     : image/jpeg
Размер  : 7231 байтов
Описание: отсутствует
Url     : http://weborto.net:8080/pipermail/ortho/attachments/20070801/89151f6a/attachment-0012.jpg 
----------- следущая часть -----------
Вложение не в текстовом формате было извлечено…
Имя     : get_image5.jpg
Тип     : image/jpeg
Размер  : 12027 байтов
Описание: отсутствует
Url     : http://weborto.net:8080/pipermail/ortho/attachments/20070801/89151f6a/attachment-0013.jpg 
----------- следущая часть -----------
Вложение не в текстовом формате было извлечено…
Имя     : get_image6.jpg
Тип     : image/jpeg
Размер  : 12465 байтов
Описание: отсутствует
Url     : http://weborto.net:8080/pipermail/ortho/attachments/20070801/89151f6a/attachment-0014.jpg 
----------- следущая часть -----------
Вложение не в текстовом формате было извлечено…
Имя     : get_image7.jpg
Тип     : image/jpeg
Размер  : 7937 байтов
Описание: отсутствует
Url     : http://weborto.net:8080/pipermail/ortho/attachments/20070801/89151f6a/attachment-0015.jpg 


Подробная информация о списке рассылки Ortho