[Ortho] Что делать с эпифизом tibia?

Alexander Zolotov dalex на mail.primorye.ru
Вт Авг 7 19:04:49 YEKST 2007


Уважаемый Салават,



> 1.Какой доступ предпочесть?
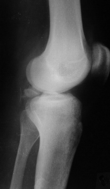
На основании небольшого личного опыта (4 пациента с отрывным переломом
задне-верхнего   края   большеберцовой   кости)  и  даннах  литературы
оптимальным считаю задний доступ, упомянутый David P. Zamorano.

> 2.Чем фиксировать?
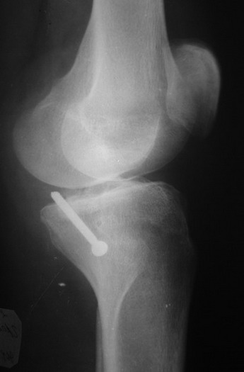
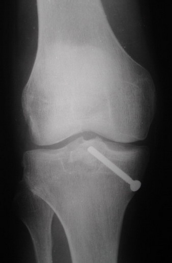
В  3  из  4  случаев  мы  применили  винт,  проведенный ретроградно по
аналогии с фиксацией заднего края большеберцовой кости при переломах в
области  голеностопного  сустава.  В прищепке рентгенограммы одного из
наших  пациетов  до  операции и спустя полгода. Остальные 3 наблюдения
описаны  в статье "Изолированный отрывной перелом большеберцовой кости
в   месте   прикрепления   задней  крестообразной  связки  //  Вестник
травматологии и ортопедии им. Приорова. - 2001. - ╧1. √ С. 38-40. Если
есть  интерес,  могу прислать копию. Ваш случай, безуловно, отличается
величиной  костного фрагмента, его локализацией, характером и степенью
смещения. Но думаю, принцип лечения может быть общим.



-- 
Best regards,
 Alexander                      www.drzolotov.narod.ru
----------- следущая часть -----------
Вложение не в текстовом формате было извлечено…
Имя     : 1.jpg
Тип     : image/jpeg
Размер  : 31803 байтов
Описание: отсутствует
Url     : http://weborto.net:8080/pipermail/ortho/attachments/20070808/782df48f/attachment-0003.jpg 
----------- следущая часть -----------
Вложение не в текстовом формате было извлечено…
Имя     : 2.jpg
Тип     : image/jpeg
Размер  : 29521 байтов
Описание: отсутствует
Url     : http://weborto.net:8080/pipermail/ortho/attachments/20070808/782df48f/attachment-0004.jpg 
----------- следущая часть -----------
Вложение не в текстовом формате было извлечено…
Имя     : 3.jpg
Тип     : image/jpeg
Размер  : 28123 байтов
Описание: отсутствует
Url     : http://weborto.net:8080/pipermail/ortho/attachments/20070808/782df48f/attachment-0005.jpg 


Подробная информация о списке рассылки Ortho