[Ortho] Что делать с эпифизом tibia?

Салават Салаватов salavat76 на list.ru
Ср Авг 8 23:57:30 YEKST 2007


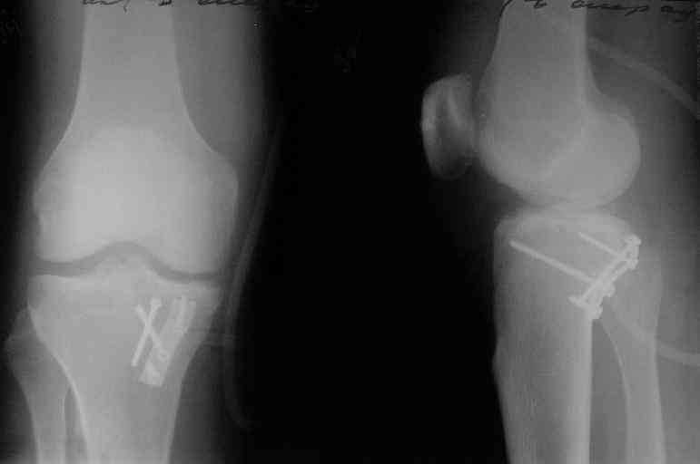
Операция из разряда травматологической "экзотики" прошла
успешно. Доступ понравился:анатомичный, хорошая визуализация, удобно
работать и оператору и ассистентам. Наложили пневможгут, но
воспользовались им только на этапе ревизии сустава. Фрагмент
развернулся на 90 град. на 2-ух "жгутах": медиально - сухожилие
m.semitendinosus, латерально - задняя крестообразная
связка. Мобилизовали,развернули и уложили на место без особого
труда. Фиксировали отмоделированной 1/3-трубчатой пластиной. Мениск
оказался неповрежден. Сустав стабилен. Обошлись без
иммобилизации, планируем начать ранние движения. Остальное на
фото, дополнительно приложены корональные срезы КТ.

----------- следущая часть -----------
Вложение не в текстовом формате было извлечено…
Имя     : get_image.jpg
Тип     : image/jpeg
Размер  : 18225 байтов
Описание: отсутствует
Url     : http://weborto.net:8080/pipermail/ortho/attachments/20070808/b746e19c/attachment-0004.jpg 
----------- следущая часть -----------
Вложение не в текстовом формате было извлечено…
Имя     : get_image1_cr_cr.jpg
Тип     : image/jpeg
Размер  : 7579 байтов
Описание: отсутствует
Url     : http://weborto.net:8080/pipermail/ortho/attachments/20070808/b746e19c/attachment-0005.jpg 
----------- следущая часть -----------
Вложение не в текстовом формате было извлечено…
Имя     : get_image8.jpg
Тип     : image/jpeg
Размер  : 57969 байтов
Описание: отсутствует
Url     : http://weborto.net:8080/pipermail/ortho/attachments/20070808/b746e19c/attachment-0006.jpg 
----------- следущая часть -----------
Вложение не в текстовом формате было извлечено…
Имя     : get_image11.jpg
Тип     : image/jpeg
Размер  : 52857 байтов
Описание: отсутствует
Url     : http://weborto.net:8080/pipermail/ortho/attachments/20070808/b746e19c/attachment-0007.jpg 


Подробная информация о списке рассылки Ortho