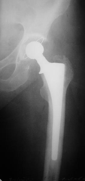
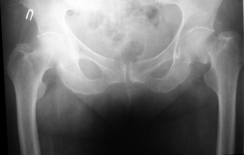
[Ortho] Перелом бедра, через неделю после эндопротезирования.

Салават Салаватов salavat76 на list.ru
Чт Авг 16 22:16:09 YEKST 2007


Уважаемые участники форума, просьба высказать Ваши мнения по представленному случаю.
На прошлой неделе пациентке 74 лет, было выполнено цементное эндопротезирование тазобедренного сустава по поводу перелома шейки бедра.Активизирована на следующий день, ходила с костылями, нагрузка полная.Дело близилось к выписке, когда она, подскользнувшись упала в палате и получила то, что  видите на снимках.Что бы Вы стали делать в подобной ситуации? Заранее спасибо.

----------- следущая часть -----------
Вложение не в текстовом формате было извлечено…
Имя     : get_image5.jpe
Тип     : image/jpeg
Размер  : 7007 байтов
Описание: отсутствует
Url     : http://weborto.net:8080/pipermail/ortho/attachments/20070816/301691f9/attachment-0005.jpe 
----------- следущая часть -----------
Вложение не в текстовом формате было извлечено…
Имя     : get_image4.jpe
Тип     : image/jpeg
Размер  : 8980 байтов
Описание: отсутствует
Url     : http://weborto.net:8080/pipermail/ortho/attachments/20070816/301691f9/attachment-0006.jpe 
----------- следущая часть -----------
Вложение не в текстовом формате было извлечено…
Имя     : get_image3.jpe
Тип     : image/jpeg
Размер  : 12544 байтов
Описание: отсутствует
Url     : http://weborto.net:8080/pipermail/ortho/attachments/20070816/301691f9/attachment-0007.jpe 
----------- следущая часть -----------
Вложение не в текстовом формате было извлечено…
Имя     : get_image1.jpe
Тип     : image/jpeg
Размер  : 11883 байтов
Описание: отсутствует
Url     : http://weborto.net:8080/pipermail/ortho/attachments/20070816/301691f9/attachment-0008.jpe 
----------- следущая часть -----------
Вложение не в текстовом формате было извлечено…
Имя     : get_image.jpe
Тип     : image/jpeg
Размер  : 31339 байтов
Описание: отсутствует
Url     : http://weborto.net:8080/pipermail/ortho/attachments/20070816/301691f9/attachment-0009.jpe 


Подробная информация о списке рассылки Ortho