[Ortho] сложный перелом правого бедра

Djoldas Kuldjanov alex61 на gmail.com
Пт Авг 17 01:18:51 YEKST 2007


>возможна ли была репозиция фрагмента заднего края б-б кости без
>нанесения дополнительной травмы ему? И по поводу остеотомии-есть ли
>резон или уже через год-два дело придет к закономерному артродезу?"

Согласен, если артродез неизбежен, то от попытки ничего не теряется.
Кто может дать гарантию, даже при отличном рентгеновском снимке у
больной могут сохрантятся боли или наоборот...
С самого начала мы за анатомичность в голеностопном суставе.

Для фиксации заднего края укладка больного в латеральном положении,
конечность на подушке, доступ задне-латеральный, остеотомия заднего
края. Опушенный на место фрагмент фиксируется butress пластиной.

Свежие случаи перкутанно, после репозиции временно спицами и через
спицы 3.5 или 4.0 мм канюлированные шурупы. Направления шурупов не
имеют значения, спереди назад или наоборот, главное, создание
межфрагментарной компрессии.
Удлинение малоберцовой можно техникой вставления в зону остеотомии
расширителя или инструментом из набора АО articulate tension device.
Толкателем за счет проведенного в проксимальной части пластины
дополнительного шурупа. 
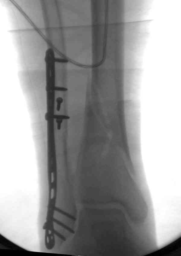
Пару снимков из этапов фиксации: мортизный снимок, техника фиксации
лодыжки, копии из книги



Djoldas Kuldjanov, MD
Department of Orthopedic Surgery
St. Louis University Medical Center


       
____________________________________________________________________________________
Got a little couch potato? 
Check out fun summer activities for kids.
http://search.yahoo.com/search?fr=oni_on_mail&p=summer+activities+for+kids&cs=bz 
----------- следущая часть -----------
Вложение не в текстовом формате было извлечено…
Имя     : mortis.jpg
Тип     : image/jpeg
Размер  : 20123 байтов
Описание: отсутствует
Url     : http://weborto.net:8080/pipermail/ortho/attachments/20070817/ae11c0f9/attachment-0003.jpg 
----------- следущая часть -----------
Вложение не в текстовом формате было извлечено…
Имя     : fx technique.jpg
Тип     : image/jpeg
Размер  : 46242 байтов
Описание: отсутствует
Url     : http://weborto.net:8080/pipermail/ortho/attachments/20070817/ae11c0f9/attachment-0004.jpg 
----------- следущая часть -----------
Вложение не в текстовом формате было извлечено…
Имя     : malleolar technique.jpg
Тип     : image/jpeg
Размер  : 29692 байтов
Описание: отсутствует
Url     : http://weborto.net:8080/pipermail/ortho/attachments/20070817/ae11c0f9/attachment-0005.jpg 


Подробная информация о списке рассылки Ortho