[Ortho] Перелом латеральной лодыжки.

Sereda andrey orthoforum на weborto.net
Ср Авг 22 00:02:49 YEKST 2007


Перелом латеральной лодыжки.

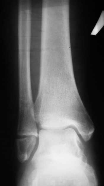
На одном из форумов заспорили о тактике. Женщина 23 года, рост 158, вес 55, профессия:
менеджер, хобби: верховая езда, горные лыжи, велосипеды, не курит, сопутствующих
заболеваний нет. 28 июня упала с лошади. первый рентген:
3b782cb3c87a.jpg Иммобилизация гипсовым сапожком до 20 августа

На сегодня-
Гипс снаят, со слов больной "Наступать на ногу не больно, но страшно.
Сустав и мышцы, конечно, плохо работают." 
b82b1ff776b9.jpg
Есть ортез.
Что делать?
1. Оперировать.
2. Не оперировать.
Спасибо.
Sereda andrey
----------- следущая часть -----------
Вложение не в текстовом формате было извлечено…
Имя     : b82b1ff776b9.jpg
Тип     : image/jpeg
Размер  : 8291 байтов
Описание: отсутствует
Url     : http://weborto.net:8080/pipermail/ortho/attachments/20070822/f9f354a0/attachment-0002.jpg 
----------- следущая часть -----------
Вложение не в текстовом формате было извлечено…
Имя     : 3b782cb3c87a.jpg
Тип     : image/jpeg
Размер  : 7166 байтов
Описание: отсутствует
Url     : http://weborto.net:8080/pipermail/ortho/attachments/20070822/f9f354a0/attachment-0003.jpg 


Подробная информация о списке рассылки Ortho