[Ortho] Кататравма

Алексей orthoforum на weborto.net
Сб Авг 25 21:01:45 YEKST 2007


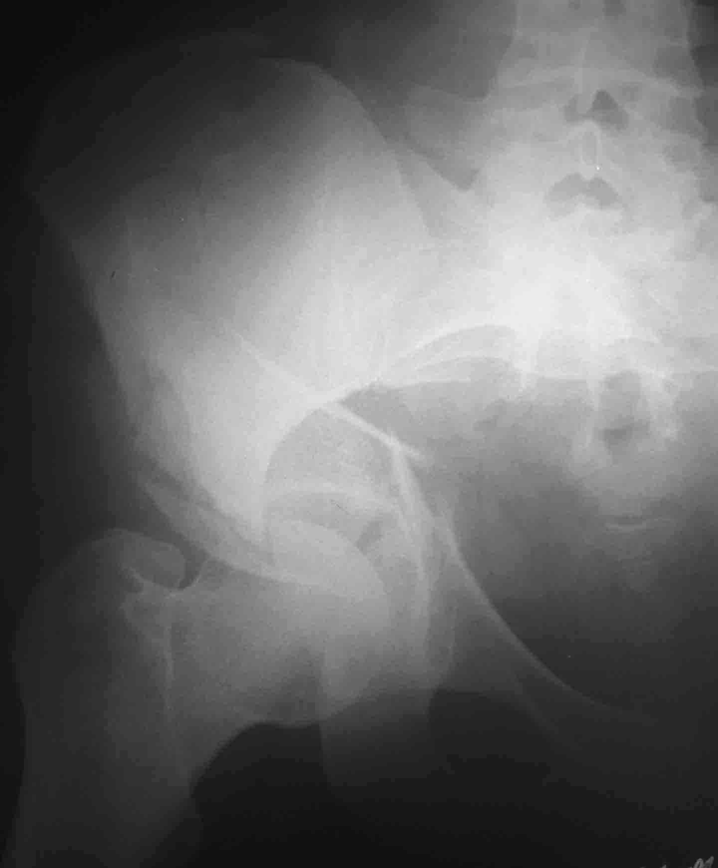
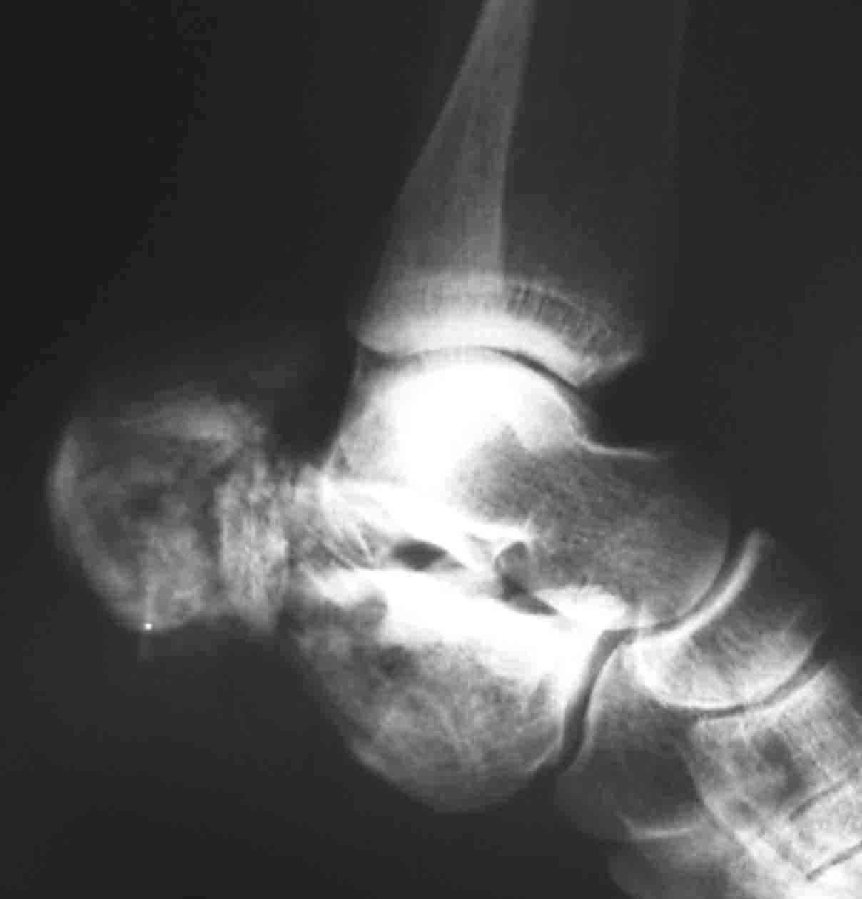
Пациентка 26 лет поступила в больницу 9 дней назад после кататравмы (падение с 4-го
этажа)Тяжелая сочетанная травма: Ушиб головного мозга средней тяжести.З/полифокальный
перелом таза (оскольчатый чрезвертлужный справа, латеральной массы крестца слева со
смещением отломков. З/оскольчатый перелом н/3 правого бедра. З/оскольчатый перелом
правой пяточной кости. Тупая травма живота - разрыв слизистой толст кишечника, кисты
яичника.

При поступлении - лапаротомия, ушивание ран кишечника, резекция кисты; скелетное
вытяжение за правую н/конечность (бугрист б/б кости) На 2-й день на таз наложен стержневой
аппарат из "того что было" (по паре стержней в подвздош кости) - естественно, при таком
переломе фиксации таким аппартом практически никакой. Пациентка 2 дня назад переведена из
реанимации в травм отделение, состояние средней тяжести, показатели красной крови - эритр
2,7; Гб - 75 г/л; Спицевое вытяжение за б/вертел не накладывали из-за возможности
инфицирования бедра (пациенка по комплекции довольно упитанная)

Встает вопрос - что и в какой последовательности делать с
поврежденными сегментами скелета? Думали о варианте: Первым этапом -
погружной остеосинтез бедра (DCS? интерлокинг?)и ,возможно, пяточной
кости.Вторым этапом - стрежневой остеосинтез таза с бедренным модулем
(внутренний остеосинтез таза, думаю, по соматике пациентки будет
возможен не скоро)

Алексей
----------- следущая часть -----------
Вложение не в текстовом формате было извлечено…
Имя     : 244.jpg
Тип     : image/jpeg
Размер  : 16180 байтов
Описание: отсутствует
Url     : http://weborto.net:8080/pipermail/ortho/attachments/20070825/26af37c8/attachment-0004.jpg 
----------- следущая часть -----------
Вложение не в текстовом формате было извлечено…
Имя     : 241.jpg
Тип     : image/jpeg
Размер  : 17841 байтов
Описание: отсутствует
Url     : http://weborto.net:8080/pipermail/ortho/attachments/20070825/26af37c8/attachment-0005.jpg 
----------- следущая часть -----------
Вложение не в текстовом формате было извлечено…
Имя     : 242.jpg
Тип     : image/jpeg
Размер  : 20736 байтов
Описание: отсутствует
Url     : http://weborto.net:8080/pipermail/ortho/attachments/20070825/26af37c8/attachment-0006.jpg 
----------- следущая часть -----------
Вложение не в текстовом формате было извлечено…
Имя     : 243.jpg
Тип     : image/jpeg
Размер  : 17889 байтов
Описание: отсутствует
Url     : http://weborto.net:8080/pipermail/ortho/attachments/20070825/26af37c8/attachment-0007.jpg 


Подробная информация о списке рассылки Ortho