[Ortho] повторный? перелом бедра

анатолий иванович orthoforum на weborto.net
Вс Авг 26 03:25:14 YEKST 2007


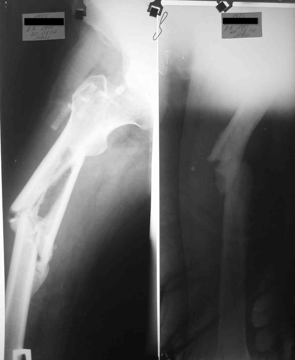
уважаемые коллеги, поступил пациент, через 6 месяцев после травмы, который лечился 3 месяца
на скелетном вытяжении, затем гипс еще 1,5 месяца, дозированная нагрузка через 3,5 месяца
после травмы. Дней 5 назад поскользнулся в ванной, почувствовал боль в бедре, появилась
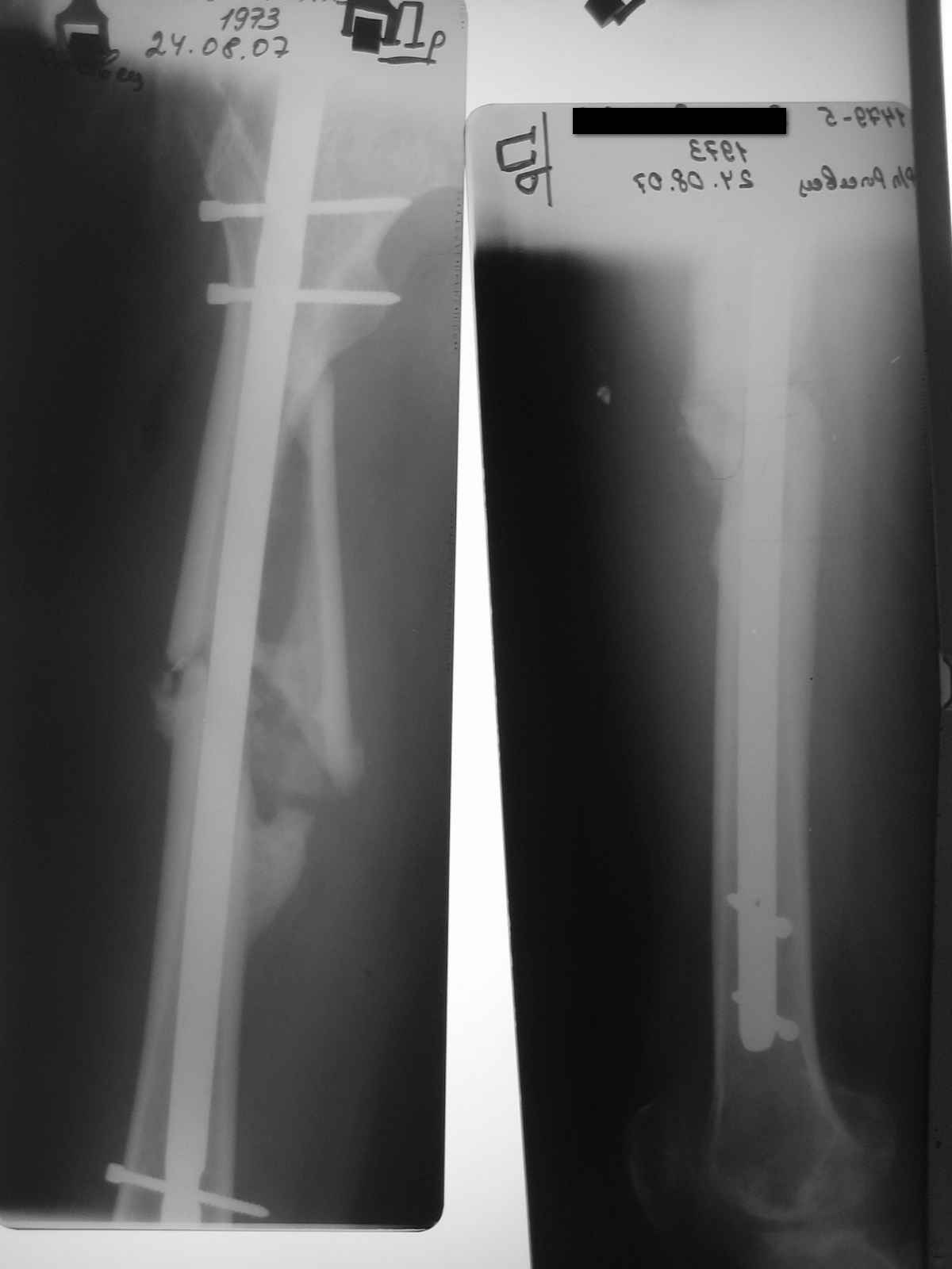
деформация. Оперирован у нас, произведен остеосинтез блокирующим стержнем ,перелом не
открывался, был "доломан" на столе. меня интересует вариант вальгирования гвоздя в этом
случае. И по-вашему какие ерспективы у этого клиента?
анатолий иванович
----------- следущая часть -----------
Вложение не в текстовом формате было извлечено…
Имя     : IMG_0857.JPG
Тип     : image/jpeg
Размер  : 37422 байтов
Описание: отсутствует
Url     : http://weborto.net:8080/pipermail/ortho/attachments/20070826/341204d7/attachment-0002.jpeg 
----------- следущая часть -----------
Вложение не в текстовом формате было извлечено…
Имя     : IMG_0856.JPG
Тип     : image/jpeg
Размер  : 44843 байтов
Описание: отсутствует
Url     : http://weborto.net:8080/pipermail/ortho/attachments/20070826/341204d7/attachment-0003.jpeg 


Подробная информация о списке рассылки Ortho