[Ortho] контрактура плечевого сустава

Зинчук orthoforum на weborto.net
Чт Авг 30 23:37:02 YEKST 2007


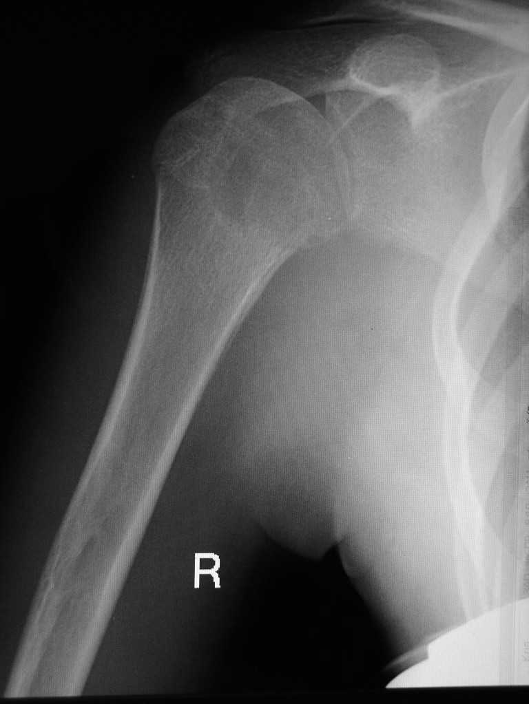
Здравствуйте уважаемые коллеги. Прошу помочь определится с диагнозом. Девушка 16 лет, в
течении 10 мес. беспокоят боли в правом плечевом суставе. Последних два месяца возникло
резкое ограничение подвижности в суставе. Со слов больной и родителей месяц назад проходила
курс лечения у травматолога с диагнозом "периартрит". На момент осмотра плечо отведено до 40
град., активные и пассивные движения резко ограничены, болезненны. Кожные покровы не
изменены, пальпация сустава болезненна, общ. ан. крови - норма. Снимки прилагаю. Заранее
благодарен за помощь.


Зинчук
----------- следущая часть -----------
Вложение не в текстовом формате было извлечено…
Имя     : P1010001.JPG
Тип     : image/jpeg
Размер  : 32477 байтов
Описание: отсутствует
Url     : http://weborto.net:8080/pipermail/ortho/attachments/20070830/79fc6902/attachment-0001.jpeg 


Подробная информация о списке рассылки Ortho