[Ortho] перелом бедра на фоне болезни Педжета

orthoforum на weborto.net orthoforum на weborto.net
Сб Дек 8 23:02:21 YEKT 2007


> Бывали ли кого-нибудь такие случаи, чем это все заканчивалось?


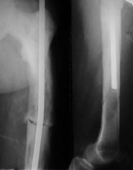
Пациент 82 лет, поступил через 5 мес. с несросшимся переломом после 
открытого интрамедуллярного остеосинтеза. Выполнили реостеосинтез 
стержнем 12 мм. ( мах. доступного нам в 2003 г.) Через 4 мес 
динамизация. В течении 2х лет сращения нет, тем не менее конечность 
опорна (ходит с тростью). От очередного реостеосинтеза отказались из-за 
сопутств. патологии.
PS: случай конечно не аналогичный, учитывая первичный открытый остеосинтез.
Виноградский Александр



----------- следущая часть -----------
Вложение не в текстовом формате было извлечено…
Имя     : get_image1.jpg
Тип     : image/jpeg
Размер  : 7216 байтов
Описание: отсутствует
Url     : http://weborto.net:8080/pipermail/ortho/attachments/20071208/e2f4c75e/attachment-0004.jpg 
----------- следущая часть -----------
Вложение не в текстовом формате было извлечено…
Имя     : get_image3.jpg
Тип     : image/jpeg
Размер  : 7632 байтов
Описание: отсутствует
Url     : http://weborto.net:8080/pipermail/ortho/attachments/20071208/e2f4c75e/attachment-0005.jpg 
----------- следущая часть -----------
Вложение не в текстовом формате было извлечено…
Имя     : get_image 2.jpg
Тип     : image/jpeg
Размер  : 4909 байтов
Описание: отсутствует
Url     : http://weborto.net:8080/pipermail/ortho/attachments/20071208/e2f4c75e/attachment-0006.jpg 
----------- следущая часть -----------
Вложение не в текстовом формате было извлечено…
Имя     : get_image 4.jpg
Тип     : image/jpeg
Размер  : 9064 байтов
Описание: отсутствует
Url     : http://weborto.net:8080/pipermail/ortho/attachments/20071208/e2f4c75e/attachment-0007.jpg 


Подробная информация о списке рассылки Ortho