[Ortho] И опять остеомиелит голени...

orthoforum на weborto.net orthoforum на weborto.net
Ср Дек 12 00:15:12 YEKT 2007


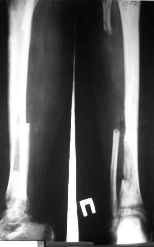
Доброго времени суток, коллеги! Сегодня поступил больной с остеомиелитом 
голени, 29 лет.
Травма - январь 2007 года, <Открытый перелом малоберцевой кости,с 
повреждением малоберцевого нерва>. Первичных снимков нет. лечился в 
одной из районных больниц xUSSR. Обратился ко мне в сентябре 2007 года, 
сжалобами на наличие свищей,неопорность конечности.Был направлен после 
выполнения фистулографии (см. фото) в областной  центр по лечению 
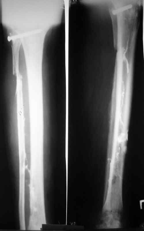
остеомиелита. Там была выполнено 2 операции:  резекция малоберцевой 
кости, и повторный дебридмент. Последнее вмешательство около месяца 
назад. Послеоперационные снимки на фото. В течении месяца получал 
перевязки, и иньекции Бициллина- 5.Выписки больной не предоставил, вся 
информация с его слов. Опять же с его слов были рекомендованы перевязки 
с раствором димексида. На  момент поступления раны и свищи хорошо видно 
на картинке, в дне раны кость жёлтого цвета, из раны гнойное отделяемое, 
с прямо таки неприятным запахом. (посев возьму завтра, но скорее всего 
там будет синегнойная, MRSA ). Стопа в эквинусе, активных движений нет, 
  конечность неопорна. В связи с тем, что больной лечился в вышестоящей 
больнице, прошу скорректировать план лечения. Мой план: выполнить 
полноценный дебридмент, лаваж, <бусы>, рану зашить с дренажами по 
Редону. При выявлении поражения  большеберцевой кости более 2\3 
диаметра сегментарная резекция с последующим замещением дефекта по 
Илизарову. Активная ЛФК для голеностопа.
Вопросы:
1.стоит ли назначать системно антибиотики?
2.Подскажите,как технически правильно изготовить <бусы> (как изготовить 
форму ?Нужна ли она? Какой размер <бусин>?  какую использовать нитку? 
Нитку оставлять снаружи или спрятать под кожу? Какой цемент лучше 
использовать?
3.стоит ли делать ревизию нерва? (я думаю, что нет)
  С уважением  Д.Б.




----------- УМЕДХЭБС ЮБУФШ -----------
Вложение не в текстовом формате было извлечено&hellip;
Имя     : IMG_0639.jpg
Тип     : image/jpeg
Размер  : 19776 байтов
Описание: отсутствует
Url     : http://weborto.net:8080/pipermail/ortho/attachments/20071212/97c04b32/attachment-0004.jpg 
----------- УМЕДХЭБС ЮБУФШ -----------
Вложение не в текстовом формате было извлечено&hellip;
Имя     : IMG_0640.jpg
Тип     : image/jpeg
Размер  : 39817 байтов
Описание: отсутствует
Url     : http://weborto.net:8080/pipermail/ortho/attachments/20071212/97c04b32/attachment-0005.jpg 
----------- УМЕДХЭБС ЮБУФШ -----------
Вложение не в текстовом формате было извлечено&hellip;
Имя     : после резекции.jpg
Тип     : image/jpeg
Размер  : 22094 байтов
Описание: отсутствует
Url     : http://weborto.net:8080/pipermail/ortho/attachments/20071212/97c04b32/attachment-0006.jpg 
----------- УМЕДХЭБС ЮБУФШ -----------
Вложение не в текстовом формате было извлечено&hellip;
Имя     : фистулография.jpg
Тип     : image/jpeg
Размер  : 22503 байтов
Описание: отсутствует
Url     : http://weborto.net:8080/pipermail/ortho/attachments/20071212/97c04b32/attachment-0007.jpg 


Подробная информация о списке рассылки Ortho