[Ortho] Контрактура локтевого сустава

Sergey Melashenko melash на rambler.ru
Вт Дек 18 02:46:27 YEKT 2007


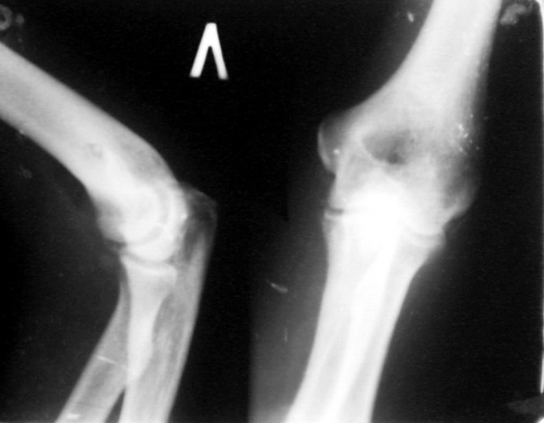
Поступил пациент, 47 лет. травма 15 сентября - вывих предплечья, 
репозиция. Фиксация 1 месяц. До настоящего времени не обращался. Вот 
рентенограммы на 2-й и 3-й месяцы после травмы. Неврологии нет. Имеется 
контрактура локтевого сустава (сгибиние 90, разгибание 120). На снимках 
что-то похожее на гетеротопические оссификаты, такое впечатление. Как 
лучше восстановить функцию, возможно ли применить редрессацию? Все-таки 
локтевой сустав "капризный".
--
С ув.   Sergey Melashenko, melash на rambler.ru г. Запорожье

--
Rambler-ICQ 6 -- новый формат общения! http://icq.rambler.ru/
----------- УМЕДХЭБС ЮБУФШ -----------
Вложение не в текстовом формате было извлечено…
Имя     : 2 месяца.jpg
Тип     : image/jpeg
Размер  : 80220 байтов
Описание: отсутствует
Url     : http://weborto.net:8080/pipermail/ortho/attachments/20071218/f17e3273/attachment-0002.jpg 
----------- УМЕДХЭБС ЮБУФШ -----------
Вложение не в текстовом формате было извлечено…
Имя     : 3 месяца.jpg
Тип     : image/jpeg
Размер  : 24605 байтов
Описание: отсутствует
Url     : http://weborto.net:8080/pipermail/ortho/attachments/20071218/f17e3273/attachment-0003.jpg 


Подробная информация о списке рассылки Ortho