[Ortho] Помогите дифференцировать.

orthoforum на weborto.net orthoforum на weborto.net
Ср Дек 26 01:37:41 YEKT 2007


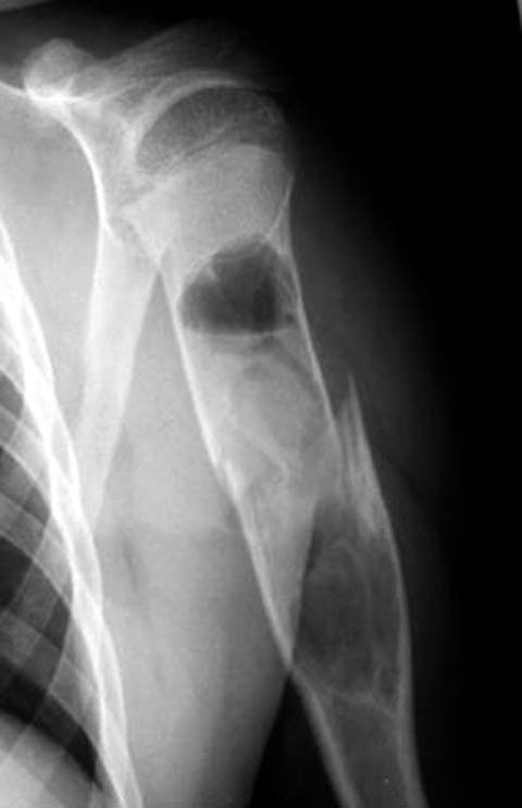
Дифференциальную диагностику надо проводить между однокамерной костной и 
аневризмальной кистой, но расположение в полости кисты тонкого, 
линейного фрагмента кости, подтверждает диагноз однокамерной
костной кисты.

"Упавший" фрагмент - патогномоническая подсказка к патологическому 
перелому, часть стенки падает в полость кисты и опускается вниз из-за 
силы тяжести.
Подозрение о "шаровидной полости" в головке - это из-за укладки,
и на представленном снимке подтверждение правильности рекомендации коллег.

McGlynn FJ, Mickelson MR, El-Khoury GY: The fallen fragment sign in 
unicameral bone cyst. Clin Orthop 1981 May;(156):157-9.
Killeen KL.: The fallen fragment sign Radiology 1998
Apr;207(1):261-2 ..
Struhl S, Edelson C, Pritzker H, Seimon LP, Dorfman
HD: Solitary (unicameral) bone cyst. The fallen
fragment sign revisited. Skeletal Radiol
1989;18(4):261-5.

В последнее время на страницах сайта появились тенденция к "упражнениям" 
  в консервативных методах лечения переломов различной локализации.
Отличное решение при отсутствии возможности современной технологии и 
невозможности оперативного вмешательства из-за общего состояния.

При консервативном лечении при изолированных переломах для фиксации 
плеча можно ограничиться обычной небольшой абдукционной подмыщечной 
подушечкой, которая создает адекватную фиксацию и предупреждает 
мягкотканые осложнения из-за ранних движений. Все полуфиксирующие 
гипсовые повязки и торакобрахиальная гипсовая повязка для фиксации
проксимального плеча неудобны для больного и затягивают процесс 
восстановления.

Сегодня, когда современные возможности намного опережают возможности 
прошлого века, оперативное лечение являются более приемлемым даже у 
пожилых больных. Хотя по снимкам трудно предположить (отличное качество 
кости), что больному 69, и поэтому для быстрейшего восстановления 
рекомендуется оперативное лечение.

Довольно длинный проксимальный конец позволит интрамедуллярную фиксацию 
через малый разрез бескровно.
Из пластин, после очистки полости и аутографта,
Locking Proximal Humerus Plate от Hand Innovation
http://www.handinnovations.com/product.php?pg=prod&prodid=3
<http://www.handinnovations.com/product.php?pg=prod&prodid=3>
с возможностью установки пластины немного ниже, чем другие.


Djoldas Kuldjanov, MD
Department of Orthopedic Surgery
St. Louis University Medical Center

----------- следущая часть -----------
Вложение не в текстовом формате было извлечено&hellip;
Имя     : Cyst fragment.jpg
Тип     : image/jpeg
Размер  : 36082 байтов
Описание: отсутствует
Url     : http://weborto.net:8080/pipermail/ortho/attachments/20071226/fc106947/attachment-0001.jpg 


Подробная информация о списке рассылки Ortho