[Ortho] [Fwd: повреждение лучевого нерва??]

orthoforum на weborto.net orthoforum на weborto.net
Чт Дек 27 01:10:38 YEKT 2007


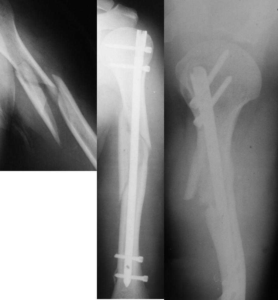
Уважаемые коллеги! Необходима консультация.Больной 52 лет.Травма 
02.10.2007г.Операция-19.10.2007г.
Сразу после операции-нарушения кожной чувствительности по наружной 
поверхности н\3 предплечья,кисти,1 и 2 пальцев кисти,ограничение 
активных движений в луче-запястном суставе при сжатом кулаке.При 
электромиографии-лучевой нерв 4% от нормы.Через два месяца после 
операции беспокоят боли в месте перелома в покое и при движениях в 
плечевом суставе.Отсутствие положительной динамики в восстановлении 
кожной чувствительности и объеме движений в л-з суставе.
Дальнейшая тактика-ждать?,оперировать?Спасибо.
Юрий Сиваков

----------- следущая часть -----------
Вложение не в текстовом формате было извлечено…
Имя     : D9.JPG
Тип     : image/jpeg
Размер  : 35555 байтов
Описание: отсутствует
Url     : http://weborto.net:8080/pipermail/ortho/attachments/20071227/6b0fcbc7/attachment-0001.jpeg 


Подробная информация о списке рассылки Ortho