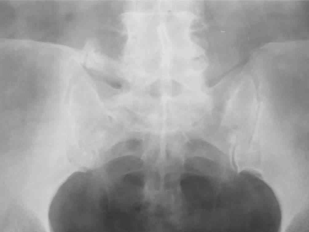
[Ortho] Одностороняя сакрализация 5 поясничного позвонка

Евгений Толстихин orthoforum на weborto.net
Чт Июл 5 21:39:19 YEKST 2007


Уважаемый Юрий Алексеевич! Спасибо огромное за подробное письмо, Ваш
опыт бесценен, обязательно воспользуюсь. Отправляю рентгенограмму
пациентки.

Евгений Толстихин
----------- следущая часть -----------
Вложение не в текстовом формате было извлечено…
Имя     : DSCF0092.jpg
Тип     : image/jpeg
Размер  : 27798 байтов
Описание: отсутствует
Url     : http://weborto.net:8080/pipermail/ortho/attachments/20070705/005f387e/attachment-0001.jpg 


Подробная информация о списке рассылки Ortho