[Ortho] Перелом н/3

Владимир Бахарев orthoforum на weborto.net
Вт Июл 10 15:47:46 YEKST 2007


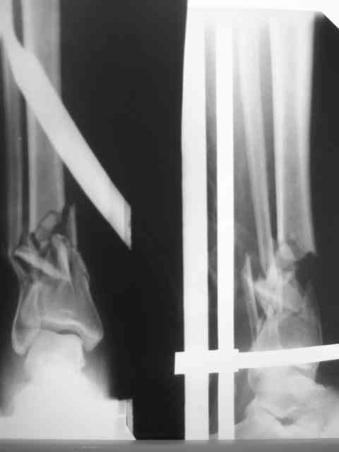
Здравствуйте коллеги! Вышел с отпуска и в палате оказалась данная
пациентка. Из истории выяснилось: травма 29.01.07 Диагноз: Открытый
оскольчатый перелом н/3 костей голени (якобы 2 Б Каплан), при
поступлении операция из трех букв и скелетное вытяжение + остальная
терапия. Затем выполнили остеосинтез штифтом (по ходу, Эксперт стоит)
видимо хотели  зацепится за дистальный отломок, но скорей всего все
было нестабильно и накинули этот  сокращенный АВФ. На сегодня (162
дня): Больная ходит с ограниченной нагрузкой на конечность  (трость).
Движения в г/стопе качательные. Трофика мягких тканей не
настораживает.  Воспаления м/тканей нет. В планах: 1. удаление штифта
2.Наложение стандартного АВФ с фиксацией стопы и устранение всех
смещений 3.Резекция нежизнеспособных костных отломков 4.Остеотомия в/3
большеберцовой кости с последующей дистракцией и замещением дефекта.
Хотелось бы выслушать мнение по этому случаю! Возможен ли вариант если
на опер.столе удастся  устранить смещения одномоментной репозицией АВФ
и не удалять штифт а производить транспорт  большеберцовой кости на
штифте? И стоит ли при таком коротком дистальном отломке пытаться
блокировать в низу (имеется в виду в АВФ) Спасибо.

Владимир Бахарев
----------- следущая часть -----------
Вложение не в текстовом формате было извлечено…
Имя     : 0006.jpg
Тип     : image/jpeg
Размер  : 24923 байтов
Описание: отсутствует
Url     : http://weborto.net:8080/pipermail/ortho/attachments/20070710/31984671/attachment-0005.jpg 
----------- следущая часть -----------
Вложение не в текстовом формате было извлечено…
Имя     : 0001.jpg
Тип     : image/jpeg
Размер  : 24201 байтов
Описание: отсутствует
Url     : http://weborto.net:8080/pipermail/ortho/attachments/20070710/31984671/attachment-0006.jpg 
----------- следущая часть -----------
Вложение не в текстовом формате было извлечено…
Имя     : 0002.jpg
Тип     : image/jpeg
Размер  : 15485 байтов
Описание: отсутствует
Url     : http://weborto.net:8080/pipermail/ortho/attachments/20070710/31984671/attachment-0007.jpg 
----------- следущая часть -----------
Вложение не в текстовом формате было извлечено…
Имя     : 003.jpg
Тип     : image/jpeg
Размер  : 15726 байтов
Описание: отсутствует
Url     : http://weborto.net:8080/pipermail/ortho/attachments/20070710/31984671/attachment-0008.jpg 
----------- следущая часть -----------
Вложение не в текстовом формате было извлечено…
Имя     : 0004.jpg
Тип     : image/jpeg
Размер  : 27042 байтов
Описание: отсутствует
Url     : http://weborto.net:8080/pipermail/ortho/attachments/20070710/31984671/attachment-0009.jpg 


Подробная информация о списке рассылки Ortho