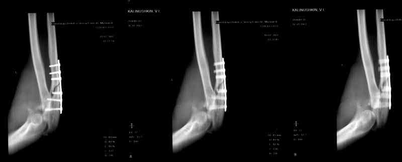
[Ortho] Несросшийся перелом локтевой кости, подвывих предплечья кзади.Перелом венечного отростка. Состояние после резекции головки лучевой. Травма 4 мес. назад.

Сергей orthoforum на weborto.net
Вт Июл 10 22:42:38 YEKST 2007


Больной наблюдался в поликлинике,к нам попал
через 3 мес. Отмечается контрактура локтевого сустава, сгибание/разгибание 30/0/0.
МРТ у нас нет, сделаны томограммы.

 МОС означает металлоостеосинтез.
Сергей
----------- следущая часть -----------
Вложение не в текстовом формате было извлечено…
Имя     : 2.jpg
Тип     : image/jpeg
Размер  : 38574 байтов
Описание: отсутствует
Url     : http://weborto.net:8080/pipermail/ortho/attachments/20070710/56e63232/attachment-0002.jpg 
----------- следущая часть -----------
Вложение не в текстовом формате было извлечено…
Имя     : 1.jpg
Тип     : image/jpeg
Размер  : 19514 байтов
Описание: отсутствует
Url     : http://weborto.net:8080/pipermail/ortho/attachments/20070710/56e63232/attachment-0003.jpg 


Подробная информация о списке рассылки Ortho