[Ortho] Fixion

Алексей Карпухин orthoforum на weborto.net
Вс Июл 15 00:14:13 YEKST 2007


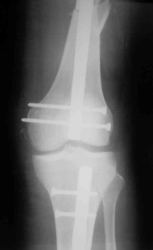
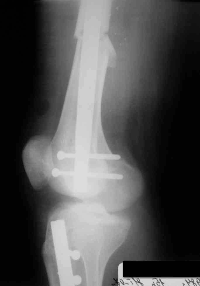
Дорогой Александр. Имею скромный опыт использования системы Fixion при
переломах плеча, бедра и тибии. Всего 18 наблюдений с сентября 2007
г.Результаты отличные. Гвоздь индивидуален для каждого медулярного
канала. Легко имплантируется как в узкий, так и в деформированный
канал. Это позволяет применять метод интрамедулярного остеосинтеза без
ненужных потерь времени операции, флюороскопии и реально снижает
крвопотерю и операционный риск. Удаление происходит без проблем.
Особенно интересны больные с ипсилатеральными переломами бедра и голени.       
В отношении ранней нагрузки при спиральных переломах лучше не
торопиться. По данному случаю необходимо достигнуть исчезновения щели
между штифтом и внутреним кортексом по Rg. А так картинка прекрасная -
и длина сегмента и репозиция. Можно поздравить, коллега!   

Алексей Карпухин
----------- следущая часть -----------
Вложение не в текстовом формате было извлечено…
Имя     : 7.jpg
Тип     : image/jpeg
Размер  : 41467 байтов
Описание: отсутствует
Url     : http://weborto.net:8080/pipermail/ortho/attachments/20070715/efc67252/attachment-0007.jpg 
----------- следущая часть -----------
Вложение не в текстовом формате было извлечено…
Имя     : 1.jpg
Тип     : image/jpeg
Размер  : 10065 байтов
Описание: отсутствует
Url     : http://weborto.net:8080/pipermail/ortho/attachments/20070715/efc67252/attachment-0008.jpg 
----------- следущая часть -----------
Вложение не в текстовом формате было извлечено…
Имя     : 2.jpg
Тип     : image/jpeg
Размер  : 12901 байтов
Описание: отсутствует
Url     : http://weborto.net:8080/pipermail/ortho/attachments/20070715/efc67252/attachment-0009.jpg 
----------- следущая часть -----------
Вложение не в текстовом формате было извлечено…
Имя     : 3.jpg
Тип     : image/jpeg
Размер  : 10782 байтов
Описание: отсутствует
Url     : http://weborto.net:8080/pipermail/ortho/attachments/20070715/efc67252/attachment-0010.jpg 
----------- следущая часть -----------
Вложение не в текстовом формате было извлечено…
Имя     : 4.jpg
Тип     : image/jpeg
Размер  : 12615 байтов
Описание: отсутствует
Url     : http://weborto.net:8080/pipermail/ortho/attachments/20070715/efc67252/attachment-0011.jpg 
----------- следущая часть -----------
Вложение не в текстовом формате было извлечено…
Имя     : 5.jpg
Тип     : image/jpeg
Размер  : 10631 байтов
Описание: отсутствует
Url     : http://weborto.net:8080/pipermail/ortho/attachments/20070715/efc67252/attachment-0012.jpg 
----------- следущая часть -----------
Вложение не в текстовом формате было извлечено…
Имя     : 6.jpg
Тип     : image/jpeg
Размер  : 10980 байтов
Описание: отсутствует
Url     : http://weborto.net:8080/pipermail/ortho/attachments/20070715/efc67252/attachment-0013.jpg 


Подробная информация о списке рассылки Ortho