[Ortho] болезнь Альберс-Шонберга

Зельский Илья Александрович orthoforum на weborto.net
Пт Июл 20 00:28:52 YEKST 2007


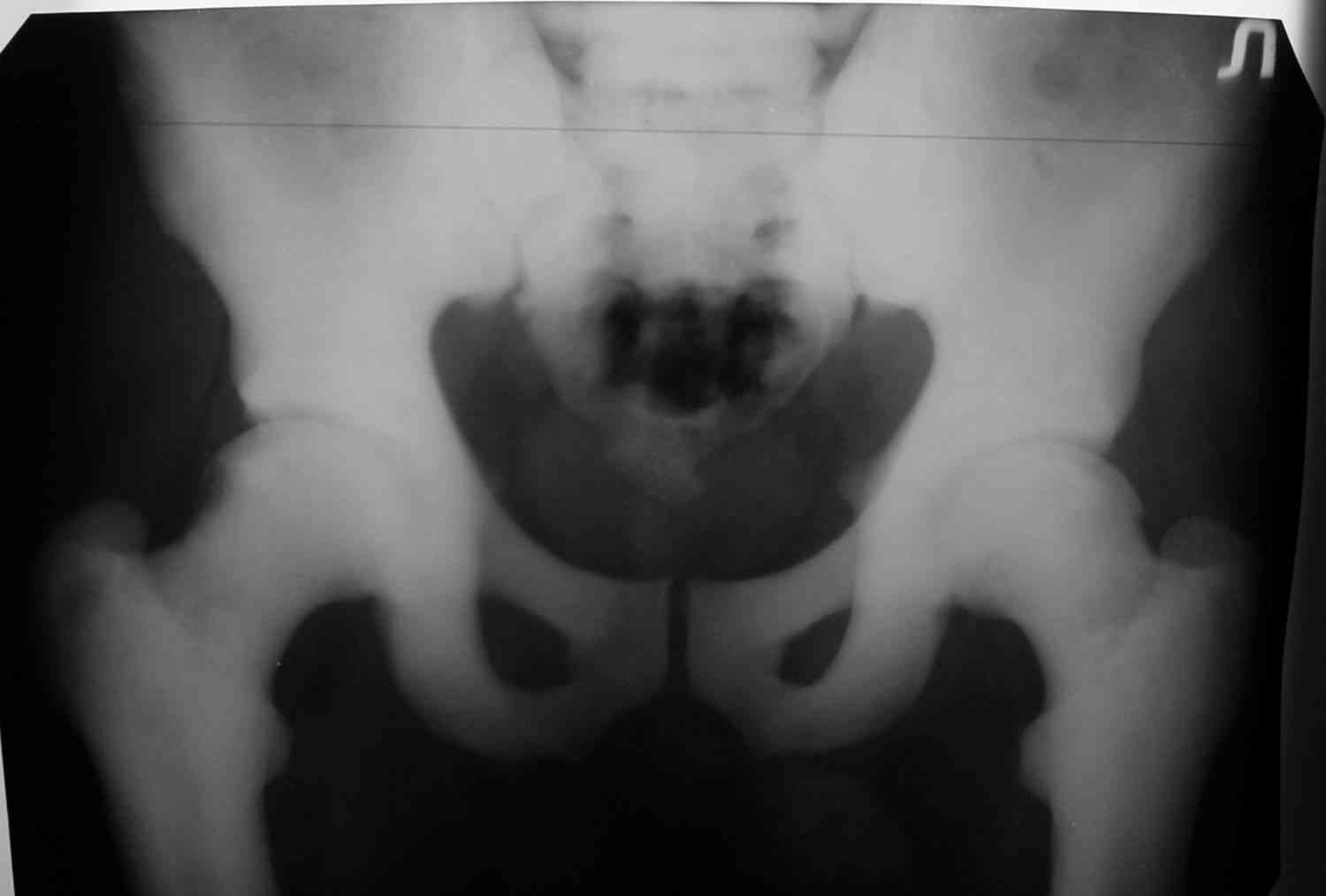
Уважаемый Константин Иванович! Полностью согласен с проф. Михайловым,
данный случай не похож на мраморную болезнь, при которой имеется
резкое, строго симметричное и генерализованное уплотнение костной
ткани (остеопетроз), и кость оказывается построенной преимущественно
из гомогенного компактного костного вещества. Для примера привожу
случай из архива нашего института (бедренные, плечевые кости и таз,
рис 1,2,3)
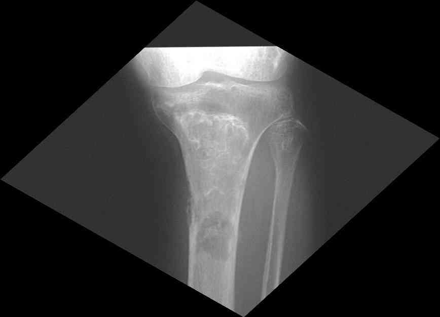
Изменения структуры костей у Вашего пациента больше похожи на
полиоссальную форму фиброзной дисплазии или болезнь Педжета, возможены
также инфаркты костного мозга б.берцовых костей. К сожалению, качество
снимка не очень хорошее, не понятно, сохранен ли кортикальный слой
б.берцовых костей по передней поверхности.    
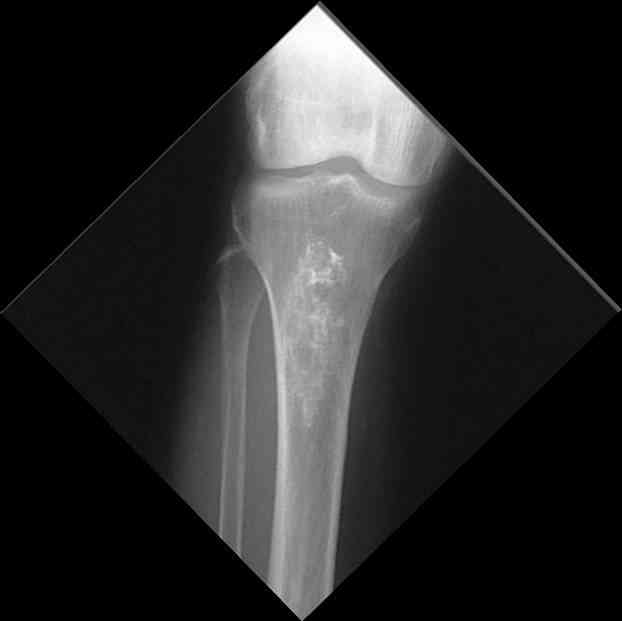
Для примера привожу случай из архива американской ассоциации
рентгенологов (ACR) - развитие злокачественной фиброзной гистиоцитомы
на левой б.берцовой кости у пациента с множественными инфарктами
костного мозга (рис 4,5 - левая, рис 6 - правая)

с уважением,

Зельский И.А., УНИИТО, Екатеринбург
----------- УМЕДХЭБС ЮБУФШ -----------
Вложение не в текстовом формате было извлечено…
Имя     : 6.jpg
Тип     : image/jpeg
Размер  : 9049 байтов
Описание: отсутствует
Url     : http://weborto.net:8080/pipermail/ortho/attachments/20070720/e5cda34a/attachment-0006.jpg 
----------- УМЕДХЭБС ЮБУФШ -----------
Вложение не в текстовом формате было извлечено…
Имя     : 1.jpg
Тип     : image/jpeg
Размер  : 12019 байтов
Описание: отсутствует
Url     : http://weborto.net:8080/pipermail/ortho/attachments/20070720/e5cda34a/attachment-0007.jpg 
----------- УМЕДХЭБС ЮБУФШ -----------
Вложение не в текстовом формате было извлечено…
Имя     : 2.jpg
Тип     : image/jpeg
Размер  : 11249 байтов
Описание: отсутствует
Url     : http://weborto.net:8080/pipermail/ortho/attachments/20070720/e5cda34a/attachment-0008.jpg 
----------- УМЕДХЭБС ЮБУФШ -----------
Вложение не в текстовом формате было извлечено…
Имя     : 3.jpg
Тип     : image/jpeg
Размер  : 19494 байтов
Описание: отсутствует
Url     : http://weborto.net:8080/pipermail/ortho/attachments/20070720/e5cda34a/attachment-0009.jpg 
----------- УМЕДХЭБС ЮБУФШ -----------
Вложение не в текстовом формате было извлечено…
Имя     : 4.jpg
Тип     : image/jpeg
Размер  : 10722 байтов
Описание: отсутствует
Url     : http://weborto.net:8080/pipermail/ortho/attachments/20070720/e5cda34a/attachment-0010.jpg 
----------- УМЕДХЭБС ЮБУФШ -----------
Вложение не в текстовом формате было извлечено…
Имя     : 5.jpg
Тип     : image/jpeg
Размер  : 7444 байтов
Описание: отсутствует
Url     : http://weborto.net:8080/pipermail/ortho/attachments/20070720/e5cda34a/attachment-0011.jpg 


Подробная информация о списке рассылки Ortho