[Ortho] болезнь Альберс-Шонберга

Djoldas Kuldjanov alex61 на gmail.com
Пт Июл 20 00:48:20 YEKST 2007


Для установки точного заболевания необходимо провести дифференцировку
между заболеваниями скелетной дисплазии и множественным инфарктом
мета-диафиза. 

Дисплазии костного скелета встречается крайне редко, многие из них
проявляются в виде нарушений формы скелета, а те, которые не
проявляется физикально в основном диагностируется при случайных 
ренгенологических обследованиях. 

1.      Achondroplasia
2.      Cleidocranial dysostosis 
3.      Dactyly
a.      Brachydactyly (короткие пальцы)
b.      Camptodactyly (контрагированные)
c.      Polydactyly 
d.      Syndactyly 
4.      Enchondromatosis (Ollier) 
5.      Fibrous dysplasia 
a.      usual form (Jaffe-Lichtenstein) 
b.      with skin pigmentation and precocious puberty
(McCune-Albright) 
6.      Gaucher's 
7.      Hypophosphatemic rickets 
8.      Marfan's 
9.      Multiple hereditary exostoses 
10.     Neurofibromatosis 
11.     Osteogenesis imperfecta 
12.     Osteopetrosis 
a.      (with osteopetrosis, you get pyknodysostosis for
free) 
13.     Osteopoikilosis  

Заболевание Albers-Schonberg, о котором идет речь, также знаком под
синонимами генерализованной врожденный остеосклероз, мраморная кость.
Остеопетроз характеризуется болями в костях, а на ренгене следы
множественных несращении длинных трубчатых костей и 
⌠белая-мелоподобная■ кость. 
Клинически проявляется головными болями из-за компрессии нервов и
иногда приводящим к слепоте и глухоте.
Лабораторно  - тромбоцитопеническая анемия из-за отсутствия
кроветворных очагов в трубчатых костях, лейкопения, увеличение
селезенки, частые инфекции и хронический остеомиелит.
Дифференцирование заболевания провести легко из-за невозможности
прокола кости биопсийной иглой. 

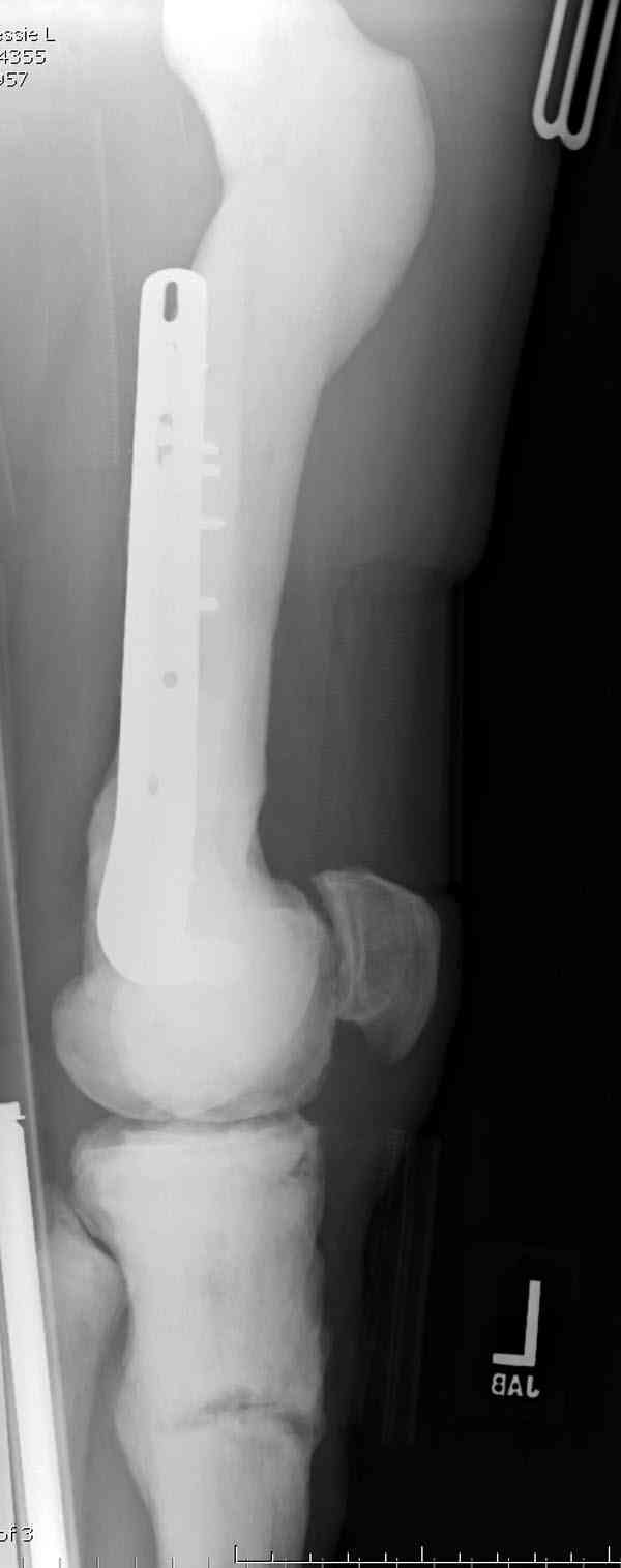
⌠При лечении переломов у больных с остеопетрозом (в прошлом году был
случай) необходимо быть готовым к длительным операциям из-за трудности
обработки традиционными методами ⌠мраморной■ кости, иметь в наличие
достаточное количество свежих острых инстументов и персонала при
необходимости замены (были случаи отстрочки операции на следующий день
из-за физической усталости персонала), и надо избежать особо
трудоемких операции как интрамедулярное сверление■. 

Из диагноза нельзя исключить кальцифицированную энхондрому, но обычно
редко распространяется в два сегмента. Не снимается возможности
хондрогенной саркомы, коллагеновую васкулярную паталогию и алкоголизм,
но необходимо подтвердить дополнительными исследованиями и должны быть
клинические проявления. МРТ и биопсия костей является одним из
необходимых методов уточнения диагноза.

Не являюсь специалистом по костной патологии, но мне кажется, на
ренгенограмме множественные мета-диафизарные образования напоминяющее
змееподобных извилистых линии и периостеальные ламинирование очень
напоминяет картину остеонекроза (инфаркта) костей, возможно связано с
длительным применением стероидов.

При предоставлении дополнительных информации, сканнирования, МРТ и
лабараторных данных можно уточнить предварительный диагноз, пока
склонен к обширному костному инфаркту, и таких больных рекомендуем
лечить сиптоматически. 

на снимке слайд из прошлегодного случая.


Djoldas Kuldjanov, MD
Department of Orthopedic Surgery
St. Louis University Medical Center
----------- следущая часть -----------
Вложение не в текстовом формате было извлечено…
Имя     : smith proxfemur ap.jpg
Тип     : image/jpeg
Размер  : 23713 байтов
Описание: отсутствует
Url     : http://weborto.net:8080/pipermail/ortho/attachments/20070720/9122b600/attachment-0002.jpg 
----------- следущая часть -----------
Вложение не в текстовом формате было извлечено…
Имя     : smith distalfemur lat.jpg
Тип     : image/jpeg
Размер  : 33812 байтов
Описание: отсутствует
Url     : http://weborto.net:8080/pipermail/ortho/attachments/20070720/9122b600/attachment-0003.jpg 


Подробная информация о списке рассылки Ortho