[Ortho] Эндопротезирование плечевого сустава

Евгенийй orthoforum на weborto.net
Пн Июл 23 21:14:33 YEKST 2007


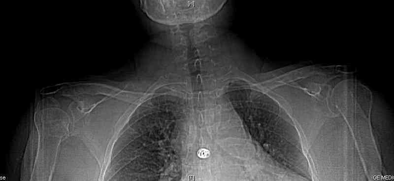
Уважаемые коллеги! Больная Н, 61 год, получила травму год назад.
Закрытый оскольчатый перелом головки правого плеча, со смещением
отломков.  
                
Проведено консервативное лечение. Результаты представлены.
После нескольких курсов восстановительного лечения динамика
положительная, но сохраняется значительное ограничение функции
конечности, выраженный болевой синдром в т.ч. и в покое. Больная вышла
на инвалидность, не в состоянии писать, печатать на компьютере,
управляться с ложкой.    

Мнения коллег нашей больницы больная не разделяет и настаивает на
эндопротезировании плечевого сустава. Было предложено провести
артроскопию, субакромиальную декомпрессию плечевого сустава. Учитывая
допущенные дефекты в лечении, о которых больной известно, министерство
готово выделить квоту на эндопротезирование, но так ли эффективна эта
операция. Хочется узнать ваше мнение по этому поводу. На что может
надеется больная после эндопротезирования.
----------- следущая часть -----------
Вложение не в текстовом формате было извлечено…
Имя     : image2.jpg
Тип     : image/jpeg
Размер  : 12380 байтов
Описание: отсутствует
Url     : http://weborto.net:8080/pipermail/ortho/attachments/20070723/4e189bc2/attachment-0003.jpg 
----------- следущая часть -----------
Вложение не в текстовом формате было извлечено…
Имя     : 2.jpg
Тип     : image/jpeg
Размер  : 14158 байтов
Описание: отсутствует
Url     : http://weborto.net:8080/pipermail/ortho/attachments/20070723/4e189bc2/attachment-0004.jpg 
----------- следущая часть -----------
Вложение не в текстовом формате было извлечено…
Имя     : 3.jpg
Тип     : image/jpeg
Размер  : 15593 байтов
Описание: отсутствует
Url     : http://weborto.net:8080/pipermail/ortho/attachments/20070723/4e189bc2/attachment-0005.jpg 


Подробная информация о списке рассылки Ortho