[Ortho] перелом бедренного стержня

Евгений Семенов orthoforum на weborto.net
Пн Июн 4 23:06:03 YEKST 2007


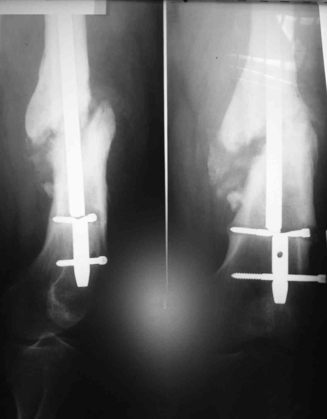
Обратился мужчина, 120 кг, из анамнеза: 1.5 года назад была проведена операция установка
антеграднего стержня в связи с переломом в дистальном отделе бедренной кости. Спустя 1.5
года - несросшийся перелом кости и перелом стержня.

Регулярно травматологом не наблюдался. недавно обратился к травматологу из-за возникшей
боли. Посоветуйте, как наиболее доступно и наименее травматично удалить эту конструкцию?
Тактика дальнейшего оперативноголечения? Мы планируем после удаления старой
конструкции, установку ретроградного бедренного стержня с рассверливанием и первичной
динамизацией.


С Уважением, Семенов Евгений
Челябинск
----------- следущая часть -----------
Вложение не в текстовом формате было извлечено…
Имя     : P5300282.JPG
Тип     : image/jpeg
Размер  : 39260 байтов
Описание: отсутствует
Url     : http://weborto.net:8080/pipermail/ortho/attachments/20070604/9ebc8f92/attachment-0001.jpeg 


Подробная информация о списке рассылки Ortho