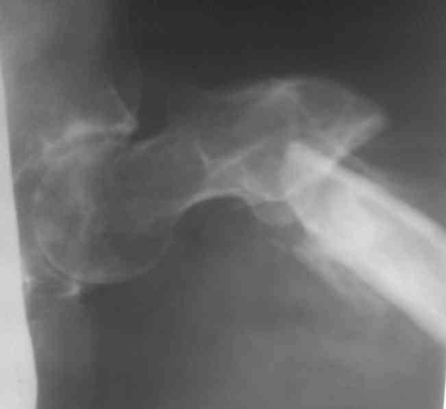
[Ortho] Лечение ложного сустава шейки бедра

Ростислав orthoforum на weborto.net
Вт Июн 5 00:31:06 YEKST 2007


Название темы- это произвольно!! Второй снимок прилагаю!!! Больница ЖД
- это типа (областной) На железной дороге!!! 
Ростислав
----------- следущая часть -----------
Вложение не в текстовом формате было извлечено…
Имя     : Foto_0049.jpg
Тип     : image/jpeg
Размер  : 10189 байтов
Описание: отсутствует
Url     : http://weborto.net:8080/pipermail/ortho/attachments/20070605/aafcd7a3/attachment.jpg 


Подробная информация о списке рассылки Ortho