[Ortho] Ведение огнестрельного перелома

Никита Заднепровский zadneprovskii на lsib.krs.ru
Ср Июн 6 18:18:17 YEKST 2007


Здравствуйте, Artemiev.

A>       Но думаю, что самый лучший вариант - т.н. острое укорочение.
A>       Тем более при относительно небольшой величине дефекта.
A>       Время сэкономите....
A>       Кстати, не знаю, почему история метода пошла по пути низведения
A>       фрагмента, а не по пути "острого укорочения". Видимо, первый, кто
A>       замещал дефект, так решил...

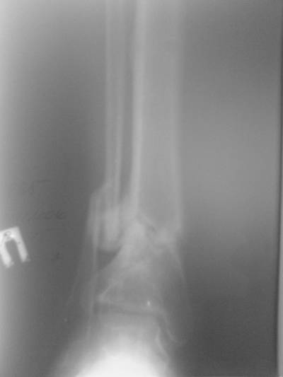
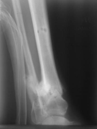
Есть у меня результат такого метода. Тема обсуждалась. Как говорится -
лечили всем форумом. Рана, правда, не огнестрельная - OFFтопик.

Больной случайно попал в поле зрения с переломом шейки бедра. Страдает
хр. алкоголизмом. От когда-то предложенного удлиннения голени пациент
отказался. После снятия аппарата он пропал как с белых яблонь дым ...

Укорочение конечности 3 см. Передвигался без дополнительной опоры с
"нарощенной" подошвой на правой обуви. Ограничение тыльного и
подошвенного сгибания - умеренные (всего примерно 50%, не измерял).

Всем большое спасибо за своевременно оказанную помощь по ведению
такого случая.


-- 
С уважением, Заднепровский Никита Николаевич
----------- следущая часть -----------
Вложение не в текстовом формате было извлечено…
Имя     : R2.jpg
Тип     : image/jpeg
Размер  : 11017 байтов
Описание: отсутствует
Url     : http://weborto.net:8080/pipermail/ortho/attachments/20070606/3107b3f1/attachment-0005.jpg 
----------- следущая часть -----------
Вложение не в текстовом формате было извлечено…
Имя     : Tibi1.jpg
Тип     : image/jpeg
Размер  : 23214 байтов
Описание: отсутствует
Url     : http://weborto.net:8080/pipermail/ortho/attachments/20070606/3107b3f1/attachment-0006.jpg 
----------- следущая часть -----------
Вложение не в текстовом формате было извлечено…
Имя     : Tibi2.jpg
Тип     : image/jpeg
Размер  : 36109 байтов
Описание: отсутствует
Url     : http://weborto.net:8080/pipermail/ortho/attachments/20070606/3107b3f1/attachment-0007.jpg 
----------- следущая часть -----------
Вложение не в текстовом формате было извлечено…
Имя     : Tibi3.jpg
Тип     : image/jpeg
Размер  : 28417 байтов
Описание: отсутствует
Url     : http://weborto.net:8080/pipermail/ortho/attachments/20070606/3107b3f1/attachment-0008.jpg 
----------- следущая часть -----------
Вложение не в текстовом формате было извлечено…
Имя     : R1.jpg
Тип     : image/jpeg
Размер  : 12896 байтов
Описание: отсутствует
Url     : http://weborto.net:8080/pipermail/ortho/attachments/20070606/3107b3f1/attachment-0009.jpg 


Подробная информация о списке рассылки Ortho