[Ortho] Необходимость операции

А.В.Владзимирский orthoforum на weborto.net
Чт Июн 7 12:44:45 YEKST 2007


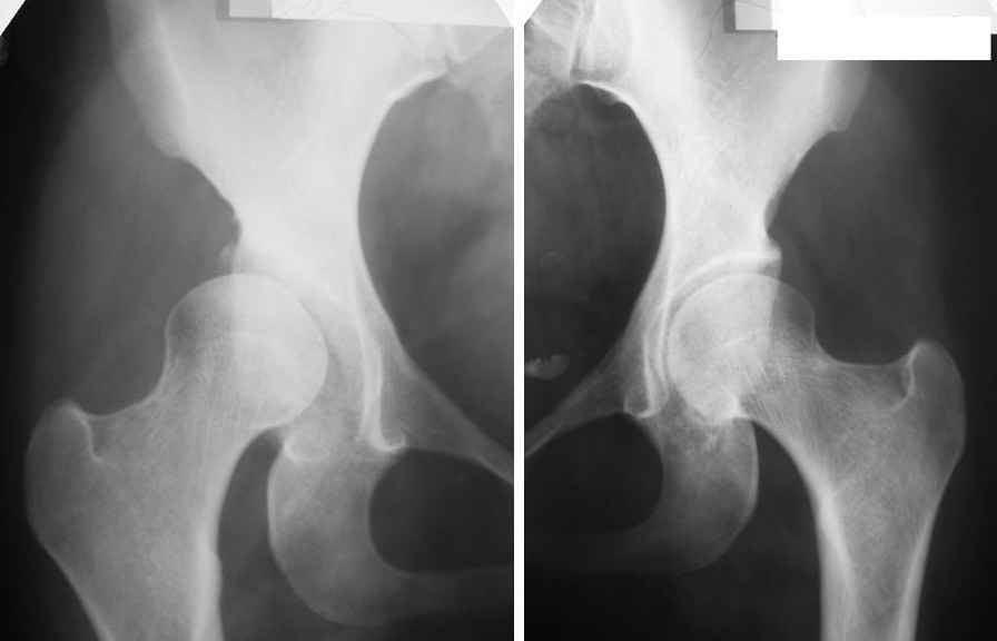
Женщина, 26 лет. Врожденный вывих обоих бедер, сколиоз
грудопоясничного отдела позвоночника 1-2 ст. Лечилась консервативно.
Работает бухгалетром. С февраля сего года отмечает периодические
умеренные боли в правой паховой области. Движения в суставах не
ограничены. Больной рекомендовано консервативное лечение. Возможные
варианты хирургических вмешательств (сроки)? Заранее благодарю!!!

С уважением,
А.В.Владзимирский
----------- УМЕДХЭБС ЮБУФШ -----------
Вложение не в текстовом формате было извлечено…
Имя     : hips.jpg
Тип     : image/jpeg
Размер  : 18529 байтов
Описание: отсутствует
Url     : http://weborto.net:8080/pipermail/ortho/attachments/20070607/92e4cd97/attachment-0001.jpg 


Подробная информация о списке рассылки Ortho