[Ortho] Последствия травмы предплечья

Виктор orthoforum на weborto.net
Пт Июн 8 23:41:43 YEKST 2007


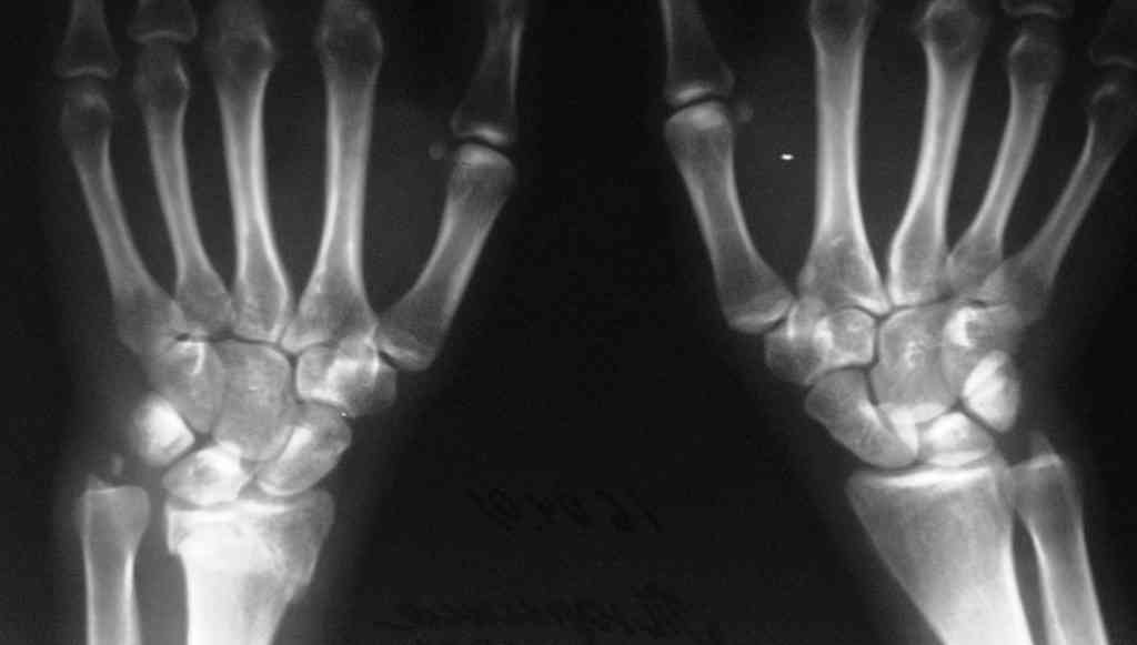
Спице-стержневой   аппарат   с  компактотомией  лучевой  кости,
костная  пластика  локтевой с  удалением  пластины. Не  комфортно,  но
 больше  шансов  на  благоприятный  исход. Заканчиваю  лечение  с
 похожей  деформацией  лучевой  кости.   

Виктор.
----------- следущая часть -----------
Вложение не в текстовом формате было извлечено…
Имя     : image009.jpg
Тип     : image/jpeg
Размер  : 35244 байтов
Описание: отсутствует
Url     : http://weborto.net:8080/pipermail/ortho/attachments/20070608/e39a88d3/attachment-0005.jpg 
----------- следущая часть -----------
Вложение не в текстовом формате было извлечено…
Имя     : image001.jpg
Тип     : image/jpeg
Размер  : 25830 байтов
Описание: отсутствует
Url     : http://weborto.net:8080/pipermail/ortho/attachments/20070608/e39a88d3/attachment-0006.jpg 
----------- следущая часть -----------
Вложение не в текстовом формате было извлечено…
Имя     : image003.jpg
Тип     : image/jpeg
Размер  : 27331 байтов
Описание: отсутствует
Url     : http://weborto.net:8080/pipermail/ortho/attachments/20070608/e39a88d3/attachment-0007.jpg 
----------- следущая часть -----------
Вложение не в текстовом формате было извлечено…
Имя     : image005.jpg
Тип     : image/jpeg
Размер  : 48041 байтов
Описание: отсутствует
Url     : http://weborto.net:8080/pipermail/ortho/attachments/20070608/e39a88d3/attachment-0008.jpg 
----------- следущая часть -----------
Вложение не в текстовом формате было извлечено…
Имя     : image007.jpg
Тип     : image/jpeg
Размер  : 23402 байтов
Описание: отсутствует
Url     : http://weborto.net:8080/pipermail/ortho/attachments/20070608/e39a88d3/attachment-0009.jpg 


Подробная информация о списке рассылки Ortho