[Ortho] [1/2] Re: Т-образный перелом вертлужной впадины

Коваленко А.Н. orthoforum на weborto.net
Пт Июн 8 23:59:34 YEKST 2007


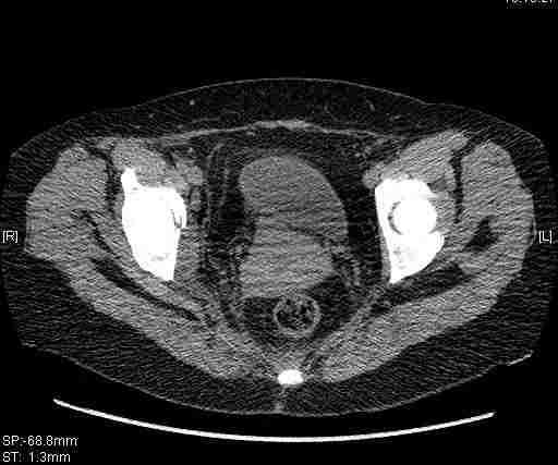
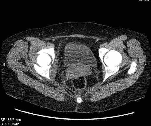
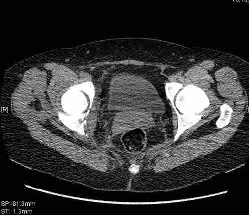
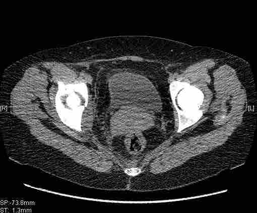
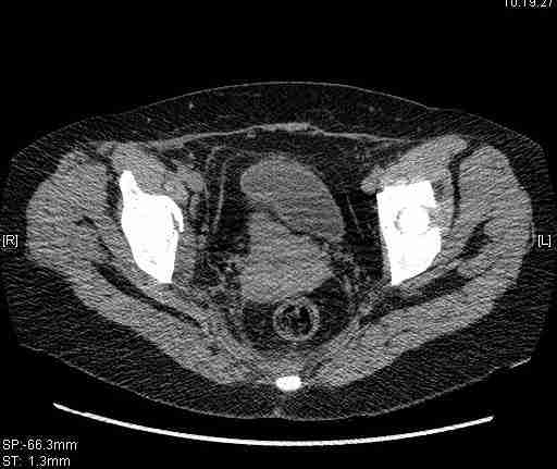
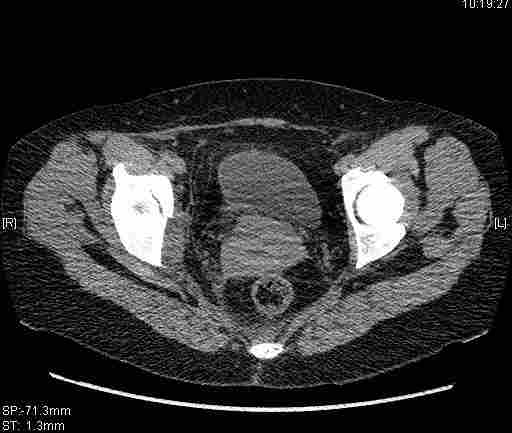
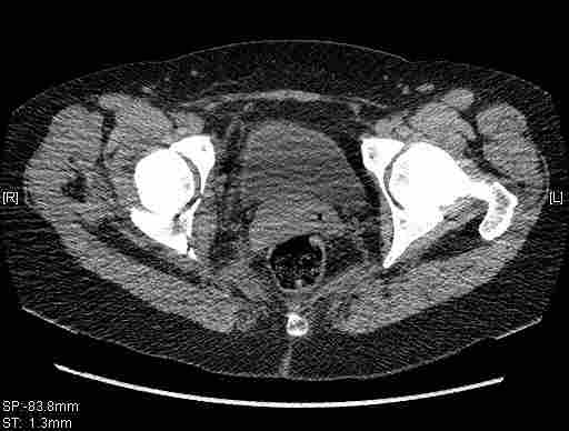
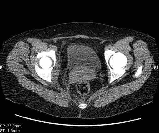
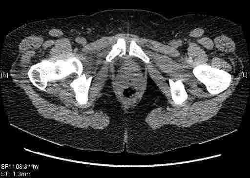
Удалось сегодня вывести пациентку в соседнюю больницу, где есть кт.
Срезы сделаны  только горизонтальные. 

Коваленко А.Н.
----------- следущая часть -----------
Вложение не в текстовом формате было извлечено…
Имя     : image20.jpg
Тип     : image/jpeg
Размер  : 12643 байтов
Описание: отсутствует
Url     : http://weborto.net:8080/pipermail/ortho/attachments/20070608/65b203b6/attachment-0011.jpg 
----------- следущая часть -----------
Вложение не в текстовом формате было извлечено…
Имя     : image1.jpg
Тип     : image/jpeg
Размер  : 0 байтов
Описание: отсутствует
Url     : http://weborto.net:8080/pipermail/ortho/attachments/20070608/65b203b6/attachment-0012.jpg 
----------- следущая часть -----------
Вложение не в текстовом формате было извлечено…
Имя     : image2.jpg
Тип     : image/jpeg
Размер  : 17199 байтов
Описание: отсутствует
Url     : http://weborto.net:8080/pipermail/ortho/attachments/20070608/65b203b6/attachment-0013.jpg 
----------- следущая часть -----------
Вложение не в текстовом формате было извлечено…
Имя     : image3.jpg
Тип     : image/jpeg
Размер  : 16907 байтов
Описание: отсутствует
Url     : http://weborto.net:8080/pipermail/ortho/attachments/20070608/65b203b6/attachment-0014.jpg 
----------- следущая часть -----------
Вложение не в текстовом формате было извлечено…
Имя     : image4.jpg
Тип     : image/jpeg
Размер  : 14491 байтов
Описание: отсутствует
Url     : http://weborto.net:8080/pipermail/ortho/attachments/20070608/65b203b6/attachment-0015.jpg 
----------- следущая часть -----------
Вложение не в текстовом формате было извлечено…
Имя     : image5.jpg
Тип     : image/jpeg
Размер  : 13763 байтов
Описание: отсутствует
Url     : http://weborto.net:8080/pipermail/ortho/attachments/20070608/65b203b6/attachment-0016.jpg 
----------- следущая часть -----------
Вложение не в текстовом формате было извлечено…
Имя     : image6.jpg
Тип     : image/jpeg
Размер  : 13782 байтов
Описание: отсутствует
Url     : http://weborto.net:8080/pipermail/ortho/attachments/20070608/65b203b6/attachment-0017.jpg 
----------- следущая часть -----------
Вложение не в текстовом формате было извлечено…
Имя     : image7.jpg
Тип     : image/jpeg
Размер  : 13758 байтов
Описание: отсутствует
Url     : http://weborto.net:8080/pipermail/ortho/attachments/20070608/65b203b6/attachment-0018.jpg 
----------- следущая часть -----------
Вложение не в текстовом формате было извлечено…
Имя     : image8.jpg
Тип     : image/jpeg
Размер  : 13736 байтов
Описание: отсутствует
Url     : http://weborto.net:8080/pipermail/ortho/attachments/20070608/65b203b6/attachment-0019.jpg 
----------- следущая часть -----------
Вложение не в текстовом формате было извлечено…
Имя     : image9.jpg
Тип     : image/jpeg
Размер  : 13620 байтов
Описание: отсутствует
Url     : http://weborto.net:8080/pipermail/ortho/attachments/20070608/65b203b6/attachment-0020.jpg 
----------- следущая часть -----------
Вложение не в текстовом формате было извлечено…
Имя     : image10.jpg
Тип     : image/jpeg
Размер  : 13586 байтов
Описание: отсутствует
Url     : http://weborto.net:8080/pipermail/ortho/attachments/20070608/65b203b6/attachment-0021.jpg 


Подробная информация о списке рассылки Ortho