[Ortho] [2/2] Re: Т-образный перелом вертлужной впадины

Коваленко А.Н. orthoforum на weborto.net
Сб Июн 9 00:00:47 YEKST 2007


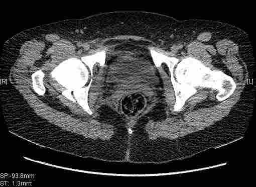
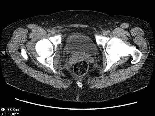
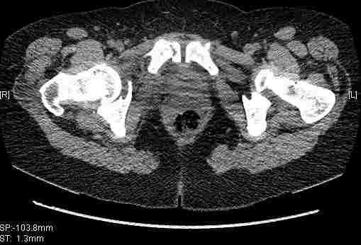
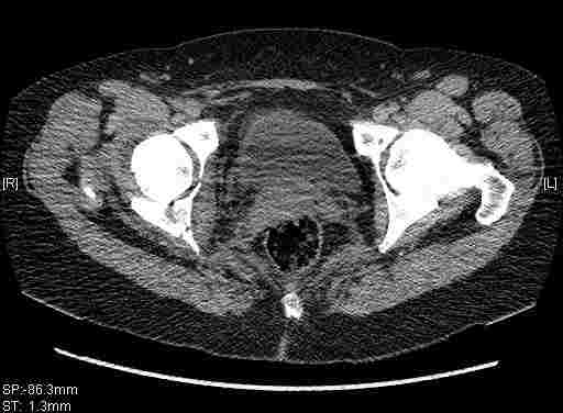
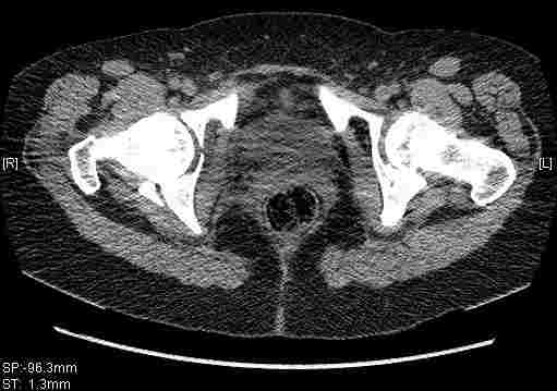
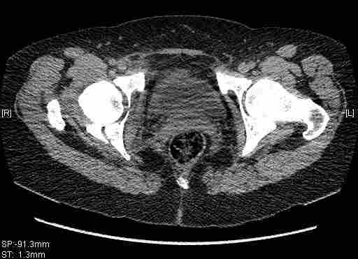
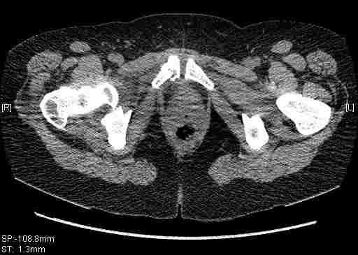
Остальные срезы.

Коваленко А.Н.
----------- следущая часть -----------
Вложение не в текстовом формате было извлечено…
Имя     : image20.jpg
Тип     : image/jpeg
Размер  : 12643 байтов
Описание: отсутствует
Url     : http://weborto.net:8080/pipermail/ortho/attachments/20070609/d58b0afe/attachment-0010.jpg 
----------- следущая часть -----------
Вложение не в текстовом формате было извлечено…
Имя     : image11.jpg
Тип     : image/jpeg
Размер  : 12970 байтов
Описание: отсутствует
Url     : http://weborto.net:8080/pipermail/ortho/attachments/20070609/d58b0afe/attachment-0011.jpg 
----------- следущая часть -----------
Вложение не в текстовом формате было извлечено…
Имя     : image12.jpg
Тип     : image/jpeg
Размер  : 13588 байтов
Описание: отсутствует
Url     : http://weborto.net:8080/pipermail/ortho/attachments/20070609/d58b0afe/attachment-0012.jpg 
----------- следущая часть -----------
Вложение не в текстовом формате было извлечено…
Имя     : image13.jpg
Тип     : image/jpeg
Размер  : 13637 байтов
Описание: отсутствует
Url     : http://weborto.net:8080/pipermail/ortho/attachments/20070609/d58b0afe/attachment-0013.jpg 
----------- следущая часть -----------
Вложение не в текстовом формате было извлечено…
Имя     : image14.jpg
Тип     : image/jpeg
Размер  : 13497 байтов
Описание: отсутствует
Url     : http://weborto.net:8080/pipermail/ortho/attachments/20070609/d58b0afe/attachment-0014.jpg 
----------- следущая часть -----------
Вложение не в текстовом формате было извлечено…
Имя     : image15.jpg
Тип     : image/jpeg
Размер  : 12828 байтов
Описание: отсутствует
Url     : http://weborto.net:8080/pipermail/ortho/attachments/20070609/d58b0afe/attachment-0015.jpg 
----------- следущая часть -----------
Вложение не в текстовом формате было извлечено…
Имя     : image16.jpg
Тип     : image/jpeg
Размер  : 12615 байтов
Описание: отсутствует
Url     : http://weborto.net:8080/pipermail/ortho/attachments/20070609/d58b0afe/attachment-0016.jpg 
----------- следущая часть -----------
Вложение не в текстовом формате было извлечено…
Имя     : image17.jpg
Тип     : image/jpeg
Размер  : 13007 байтов
Описание: отсутствует
Url     : http://weborto.net:8080/pipermail/ortho/attachments/20070609/d58b0afe/attachment-0017.jpg 
----------- следущая часть -----------
Вложение не в текстовом формате было извлечено…
Имя     : image18.jpg
Тип     : image/jpeg
Размер  : 12621 байтов
Описание: отсутствует
Url     : http://weborto.net:8080/pipermail/ortho/attachments/20070609/d58b0afe/attachment-0018.jpg 
----------- следущая часть -----------
Вложение не в текстовом формате было извлечено…
Имя     : image19.jpg
Тип     : image/jpeg
Размер  : 12769 байтов
Описание: отсутствует
Url     : http://weborto.net:8080/pipermail/ortho/attachments/20070609/d58b0afe/attachment-0019.jpg 


Подробная информация о списке рассылки Ortho