[Ortho] несросшаяся шейка бедра

Anton Vakulenko anton.vakulenko на gmail.com
Пн Июн 11 20:35:11 YEKST 2007


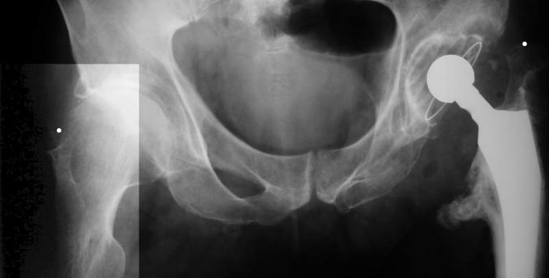
Коллеги, обещанный  follow-up.
Больного прооперировали на прошлой неделе (цементный протез, цемент с
гентамицином). Использовали задне-боковой доступ. В области перелома
подвижности практически не было, так что тему сообщения уместно
заменить на "неправильно сросшаяся шейка". И в головке, и во впадине
были значительные дегенеративные изменения, так что ни биполяр, ни
остеосинтез тут неуместны (хотя это предлагали в ortopod'е). После
релиза удлинили ногу на 3 см. Дальше удлинять побоялись из-за
натяжения седалищного нерва, хотя в принципе можно было бы еще 15-20
мм нарастить. По послеоперационной рентгенограмме анатомическое
укорочение порядка 15 мм. Клинически при ходьбе - 4 см, но это за счет
перекоса таза.
В общем, всем спасибо за обсуждение!..

-- 
С уважением,
А. В. Вакуленко
----------- следущая часть -----------
Вложение не в текстовом формате было извлечено…
Имя     : head.jpg
Тип     : image/jpeg
Размер  : 20071 байтов
Описание: отсутствует
Url     : http://weborto.net:8080/pipermail/ortho/attachments/20070611/65ca69de/attachment-0001.jpg 
----------- следущая часть -----------
Вложение не в текстовом формате было извлечено…
Имя     : pelvis.JPG
Тип     : image/jpeg
Размер  : 17998 байтов
Описание: отсутствует
Url     : http://weborto.net:8080/pipermail/ortho/attachments/20070611/65ca69de/attachment-0001.jpeg 


Подробная информация о списке рассылки Ortho