[Ortho] Операция на переднем полукольце таза при налич

dan schlatterer orthoforum на weborto.net
Пн Июн 11 23:50:01 YEKST 2007


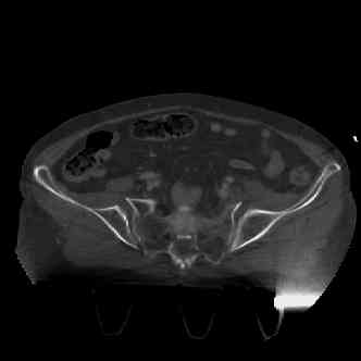
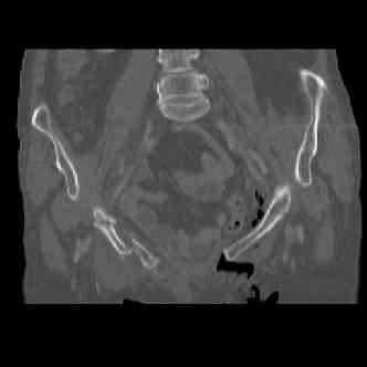
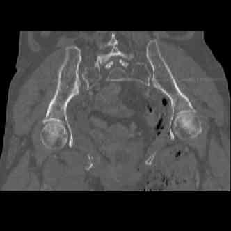
attached are several CT cuts. please let me know if you need more. the CT is pre-pelvic ex-fix placement.

 Thank you.
dan schlatterer
----------- следущая часть -----------
Вложение не в текстовом формате было извлечено…
Имя     : image007.jpg
Тип     : image/jpeg
Размер  : 4334 байтов
Описание: отсутствует
Url     : http://weborto.net:8080/pipermail/ortho/attachments/20070611/a9c71adb/attachment.jpg 
----------- следущая часть -----------
Вложение не в текстовом формате было извлечено…
Имя     : image001.jpg
Тип     : image/jpeg
Размер  : 3881 байтов
Описание: отсутствует
Url     : http://weborto.net:8080/pipermail/ortho/attachments/20070611/a9c71adb/attachment-0001.jpg 
----------- следущая часть -----------
Вложение не в текстовом формате было извлечено…
Имя     : image003.jpg
Тип     : image/jpeg
Размер  : 3874 байтов
Описание: отсутствует
Url     : http://weborto.net:8080/pipermail/ortho/attachments/20070611/a9c71adb/attachment-0002.jpg 
----------- следущая часть -----------
Вложение не в текстовом формате было извлечено…
Имя     : image005.jpg
Тип     : image/jpeg
Размер  : 4630 байтов
Описание: отсутствует
Url     : http://weborto.net:8080/pipermail/ortho/attachments/20070611/a9c71adb/attachment-0003.jpg 


Подробная информация о списке рассылки Ortho