[Ortho] Повторная травма таза

Алексей orthoforum на weborto.net
Пт Июн 15 00:22:35 YEKST 2007


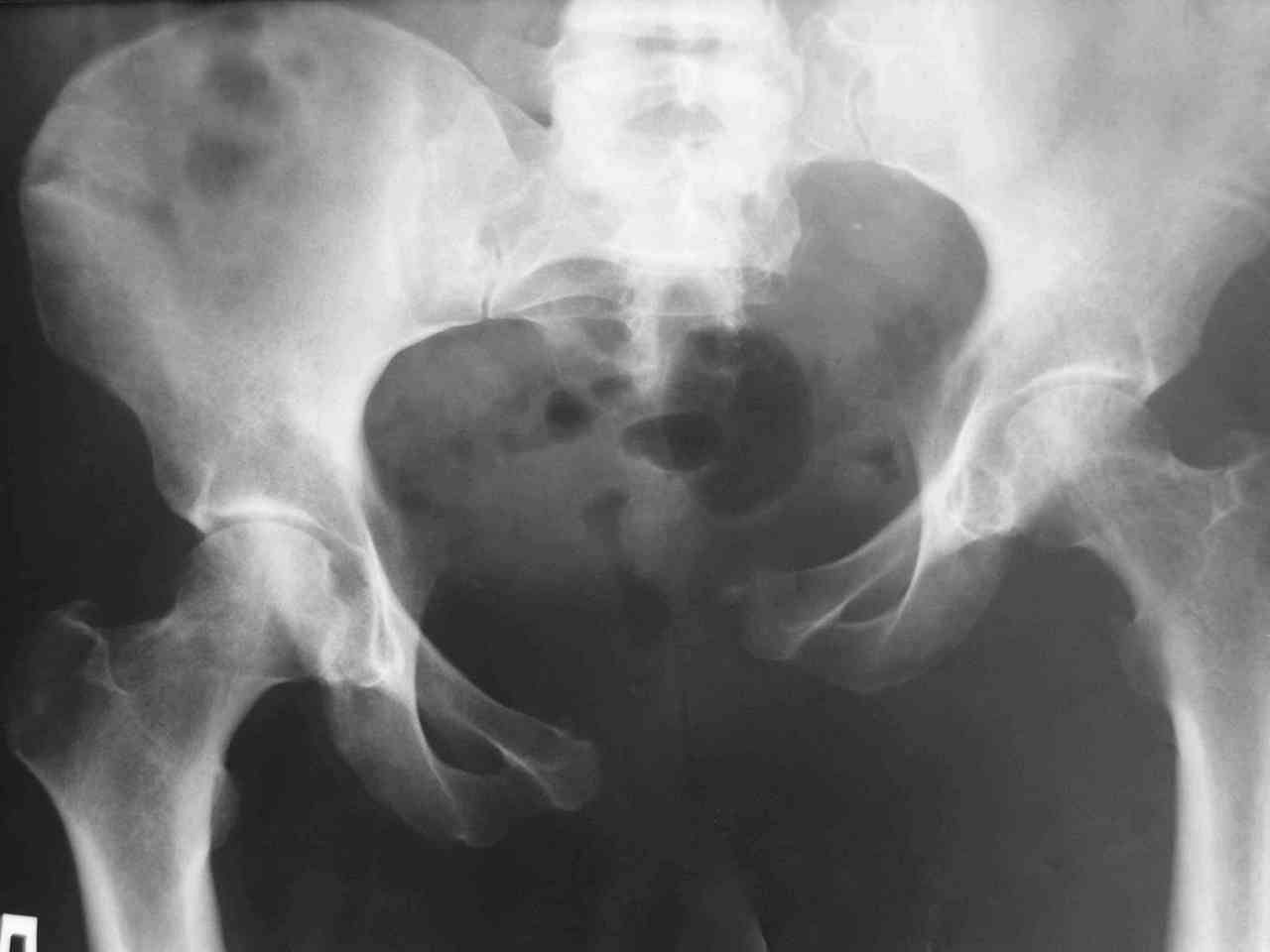
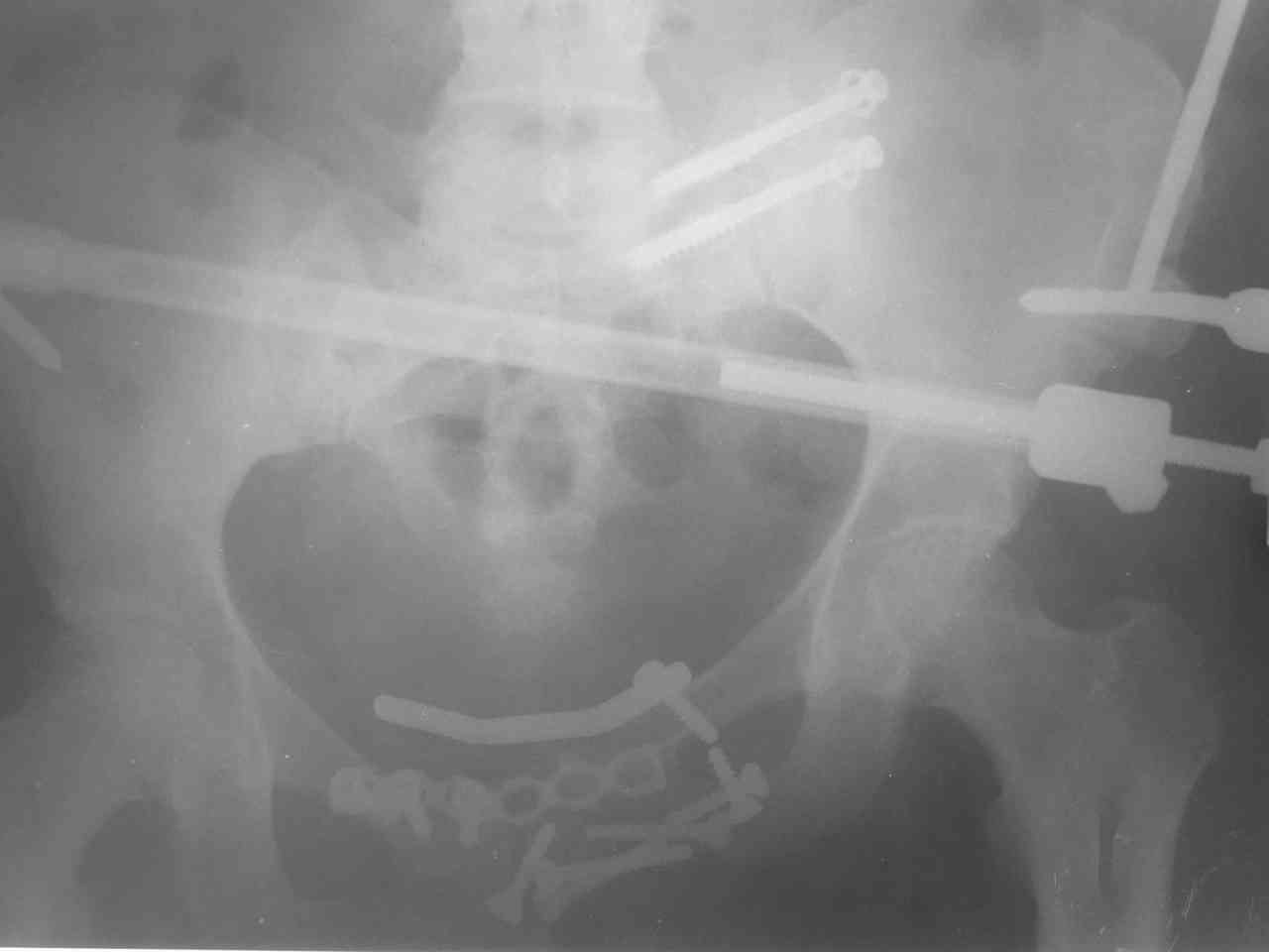
Пациентка получила травму таза 9 месяцев назад (перелом латеральной
массы крестца слева, разрыв лонного сочленения). Лечилась в стационаре
другого города, без успеха. В мае 2007 прооперирована в нашем
отделении, выполнена открытая репозиция повреждений, остеосинтез
винтами латеральной массы крестца и пластинами лонного сочленения.
Дополнительная  фиксация аппаратом внешней фиксации. 3 недели спустя
упала в палате на ягодицы, при этом получила повторную травму таза,
смещение отломков. Уважаемые коллеги каково ваше мнение о способе
фиксации полученных повреждений. С уважением Алексей. 
----------- следущая часть -----------
Вложение не в текстовом формате было извлечено…
Имя     : 3.jpg
Тип     : image/jpeg
Размер  : 40859 байтов
Описание: отсутствует
Url     : http://weborto.net:8080/pipermail/ortho/attachments/20070615/7a8d3d1b/attachment-0003.jpg 
----------- следущая часть -----------
Вложение не в текстовом формате было извлечено…
Имя     : 1.jpg
Тип     : image/jpeg
Размер  : 53088 байтов
Описание: отсутствует
Url     : http://weborto.net:8080/pipermail/ortho/attachments/20070615/7a8d3d1b/attachment-0004.jpg 
----------- следущая часть -----------
Вложение не в текстовом формате было извлечено…
Имя     : 2.jpg
Тип     : image/jpeg
Размер  : 50037 байтов
Описание: отсутствует
Url     : http://weborto.net:8080/pipermail/ortho/attachments/20070615/7a8d3d1b/attachment-0005.jpg 


Подробная информация о списке рассылки Ortho