[Ortho] [1/3] Re: повреждение таранной кости

Djoldas Kuldjanov djkuldjanov на yahoo.com
Пт Июн 15 20:11:53 YEKST 2007


На основании двух видов ренгенограмм невозможно радикально решить о
необходимости открытой репозиции или первичного артродеза.
Для оценки состояния нужны дополнительные исследования, например
Canale или Broden ренгенограммы и Компьютерная томография.
При переломах тарана всегда имеется риск AVN, а классификация Hawkins
поможет разобраться с предполагаемыми осложнениями.
Если в первом типе, когда перелом шейки без смещения, тогда AVN менее
10%, при втором типе когда имеется смещение и вывих тарана в
субталарном сочленении меньше 40%, а при типе III когда смещение в
голеностопном и субталарном суставах - около 90% и в типе IV, когда
происходит полный вывих, риск AVN достигает 100%.

Многие переломы тарана сопровождается открытой раной, в 20%
встречаются раны передненаружные, а в 50% переломы типа  Hawkins III
являются открытыми, и в 40% раны осложняются инфекцией.

Идеально фиксацию провести в первые часы, но не всегда возможно из-за
отека, поэтому временный наружный фиксатор на дистракцию поможет
уменьшению отека и даст время для адекватного обследования.

При в первом типе придерживаемся закрытой репозиции, а у всех
остальных в зависимости от смещения предпочитаем открытую репозицию,
фиксация шурупами или пластиной. Пластина 2.4 мм более предпочтительна
для удержания мелких костных осколков.

В вашем случае доступ через перелом медиальной лодыжки, обычный доступ
через остеотомии лодыжки, где имеется возможность прямой репозиции
тарана, после фиксации шурупами, лодыжки фиксируются обычным 2х
лодыжечным методом. 

Предпочтительно выжидательная тактика, чем радикальный первичный
артродез. 
Множество наблюдений больных с аваскулярным некрозом, где место тарана
заполнялось фиброзной матрицей и жалоб особых не проявляли.

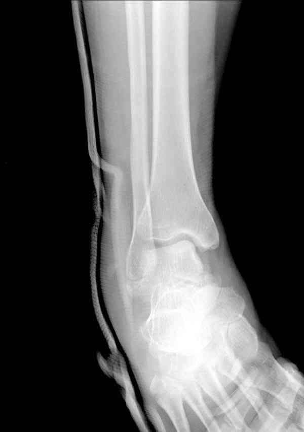
Случай с множественным оскольчатым переломом тарана оперированный из
двойного доступа. 

И второй случай из недавней ташкентской практики, (извините за
качество ренгенограммы и только в одной проекции) случай падения с
высоты (кстати моего друга - известного киноактера) - открытый
смещенный перелом тарана, с переломом переднего края дистального
эпиметафиза большеберцовой кости. 
При поступлении в приемной сделана первичная обработка с ушиванием
открытой латеральной раны и вытяжением за пятку.
Из-за отсутствия времени пришлось оперировать на второе утро, из
материала, что имеем на месте, фиксирован двумя шурупами, а третий-это
контур сломанного жойстика в 4 мм. На дистальный медиальный конец
тибиа antiglide 3.5 мм пластина. Через пару дней выписан и несмотря на
предупреждение, самостоятельно начал нагрузку в 4 недели, время не
ждет, снимается в боевике в Росийской Федерации.

Djoldas Kuldjanov, MD
Department of Orthopedic Surgery
St. Louis University Medical Center
----------- следущая часть -----------
Вложение не в текстовом формате было извлечено…
Имя     : talar fx.CT coronal 4.jpg
Тип     : image/jpeg
Размер  : 22512 байтов
Описание: отсутствует
Url     : http://weborto.net:8080/pipermail/ortho/attachments/20070615/61a2112e/attachment-0008.jpg 
----------- следущая часть -----------
Вложение не в текстовом формате было извлечено…
Имя     : 1 talar fx.ap.jpg
Тип     : image/jpeg
Размер  : 22885 байтов
Описание: отсутствует
Url     : http://weborto.net:8080/pipermail/ortho/attachments/20070615/61a2112e/attachment-0009.jpg 
----------- следущая часть -----------
Вложение не в текстовом формате было извлечено…
Имя     : 2 talar fx lat.jpg
Тип     : image/jpeg
Размер  : 25933 байтов
Описание: отсутствует
Url     : http://weborto.net:8080/pipermail/ortho/attachments/20070615/61a2112e/attachment-0010.jpg 
----------- следущая часть -----------
Вложение не в текстовом формате было извлечено…
Имя     : talar fx.ct4.jpg
Тип     : image/jpeg
Размер  : 18900 байтов
Описание: отсутствует
Url     : http://weborto.net:8080/pipermail/ortho/attachments/20070615/61a2112e/attachment-0011.jpg 
----------- следущая часть -----------
Вложение не в текстовом формате было извлечено…
Имя     : talar fx.ct 6.jpg
Тип     : image/jpeg
Размер  : 18105 байтов
Описание: отсутствует
Url     : http://weborto.net:8080/pipermail/ortho/attachments/20070615/61a2112e/attachment-0012.jpg 
----------- следущая часть -----------
Вложение не в текстовом формате было извлечено…
Имя     : talar fx.CT coronal 3.jpg
Тип     : image/jpeg
Размер  : 22746 байтов
Описание: отсутствует
Url     : http://weborto.net:8080/pipermail/ortho/attachments/20070615/61a2112e/attachment-0013.jpg 
----------- следущая часть -----------
Вложение не в текстовом формате было извлечено…
Имя     : talar fx introp.jpg
Тип     : image/jpeg
Размер  : 19657 байтов
Описание: отсутствует
Url     : http://weborto.net:8080/pipermail/ortho/attachments/20070615/61a2112e/attachment-0014.jpg 
----------- следущая часть -----------
Вложение не в текстовом формате было извлечено…
Имя     : talar fx introp 2.jpg
Тип     : image/jpeg
Размер  : 17145 байтов
Описание: отсутствует
Url     : http://weborto.net:8080/pipermail/ortho/attachments/20070615/61a2112e/attachment-0015.jpg 


Подробная информация о списке рассылки Ortho