[Ortho] повреждение таранной кости

Nikolay Koryshkov nik-koryshkov на yandex.ru
Сб Июн 16 11:12:08 YEKST 2007


Здравствуйте, уважаемый Максим.

Вы писали 13 июня 2007 г., 9:33:09:

> Уважаемые коллеги, обратился на консультатцию молодой человек с
> повреждением тарана и лодыжек, травма 2 дня назад. Мнения по поводу
> лечения разошлись. Как вы считаете, целесообразно выполнить синтез
> таранной кости или первичный артродез (если последнее то какой?)?
> может быть предложите другие варианты.


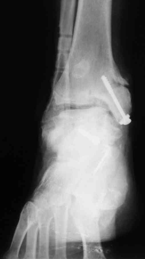
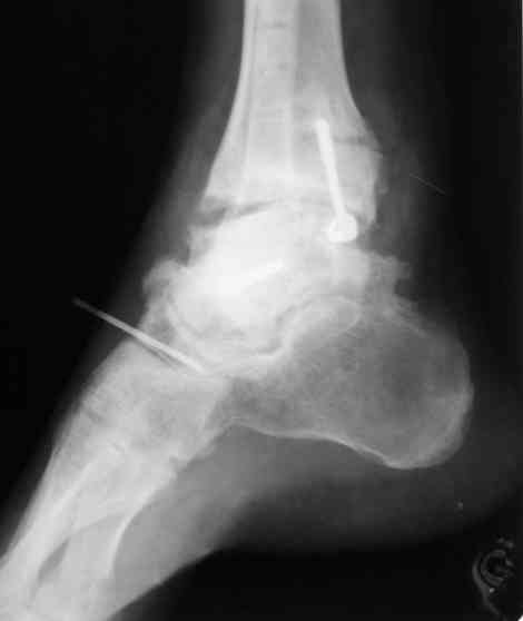
В Вашей ситуации мы произвели открытую репозицию и фиксацию
металлоконструкциями. Все зажило первично, посттравматического
дефартроза избежать не удалось. Пациент от артродезирующих операций в
отдаленном периоде отказался.

-- 
С уважением,
 Nikolay Koryshkov
 Санкт-Петербург                          mailto:nik-koryshkov на yandex.ru
----------- следущая часть -----------
Вложение не в текстовом формате было извлечено…
Имя     : при госпит.jpg
Тип     : image/jpeg
Размер  : 16996 байтов
Описание: отсутствует
Url     : http://weborto.net:8080/pipermail/ortho/attachments/20070616/4aa8531d/attachment-0005.jpg 
----------- следущая часть -----------
Вложение не в текстовом формате было извлечено…
Имя     : кт после остеосинтеза.jpg
Тип     : image/jpeg
Размер  : 22374 байтов
Описание: отсутствует
Url     : http://weborto.net:8080/pipermail/ortho/attachments/20070616/4aa8531d/attachment-0006.jpg 
----------- следущая часть -----------
Вложение не в текстовом формате было извлечено…
Имя     : отдал период.jpg
Тип     : image/jpeg
Размер  : 15231 байтов
Описание: отсутствует
Url     : http://weborto.net:8080/pipermail/ortho/attachments/20070616/4aa8531d/attachment-0007.jpg 
----------- следущая часть -----------
Вложение не в текстовом формате было извлечено…
Имя     : после опер.jpg
Тип     : image/jpeg
Размер  : 18969 байтов
Описание: отсутствует
Url     : http://weborto.net:8080/pipermail/ortho/attachments/20070616/4aa8531d/attachment-0008.jpg 
----------- следущая часть -----------
Вложение не в текстовом формате было извлечено…
Имя     : после удал.jpg
Тип     : image/jpeg
Размер  : 12265 байтов
Описание: отсутствует
Url     : http://weborto.net:8080/pipermail/ortho/attachments/20070616/4aa8531d/attachment-0009.jpg 


Подробная информация о списке рассылки Ortho