[Ortho] Застарелое повреждение таза

Никита Заднепровский zadneprovskii на lsib.krs.ru
Вт Июн 19 22:54:38 YEKST 2007


Здравствуйте, alexander.

ac> С уезжавшей обратьно пациенткой я передал DVD с литарутрой - там по
ac> тазу ничего нет?

Александр Николаевич, огромное Вам спасибо за предоставленную
"библиотеку"! Пока все что на диске "ниасилил". 4 гига - не шутка
:))) Пролопачу тему в этом направлении.

ac> А насчет открытого этапа, как кто-то из заокеанских коллег говорил -
ac> прежде, чем сунуть палец в воду, убедись, что рядом есть кто-то,
ac> умеющий плавать. Кроме того, нужны специфические инструменты и
ac> имплантаты, которых, видимо, пока у вас нет.

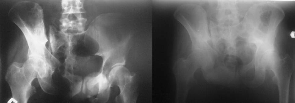
Остается только вариант закрытого аппаратного лечения. В аттаче
положение отломков на вытяжении в прямой (АР) проекции. Для сравнения
снимок до и во время вытяжения.



-- 
С уважением, Заднепровский Никита Николаевич
----------- следущая часть -----------
Вложение не в текстовом формате было извлечено…
Имя     : Таз 34.jpg
Тип     : image/jpeg
Размер  : 20356 байтов
Описание: отсутствует
Url     : http://weborto.net:8080/pipermail/ortho/attachments/20070620/b14547e3/attachment-0001.jpg 


Подробная информация о списке рассылки Ortho