[Ortho] Посттравматическая рефлекторная дистрофия конечности

Aleksey Ladyzhev ladyzhev на gmail.com
Вт Июн 26 01:21:06 YEKST 2007


Уважаемые коллеги, обращаюсь к вашему опыту.

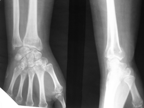
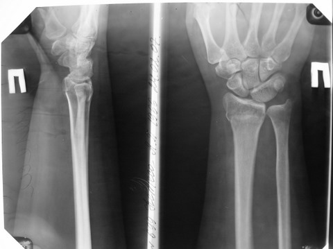
Обратилась женщина 45лет, профессия - швея, травма 24.02.07
вколоченный перелом правого луча (см Ргр Р******279). Лечилась:
гипсовая иммобилизация 4 нед, препараты кальция. В реабилитационном
периоде получала ЛФК, физотерапию, медикаментозные болкады.
На данный момент женщину беспокоят слабокупирующиеся боли
плечо-локоть-кисть по локтевой поверхности больше, ограничение
движений в л\з суставе и мелких суставах кисти (см приложения: общий
вид, объем движений  - рис. Р*******272, Р******271), на Ргр нарастают
явления остеопороза, не смотря на прием препаратов кальция(рис.
Р****277,278).
Прошу поделиться вашим опытом ведения таких больных. Какими
препаратами можно купировать болевой синдром? сейчас она приниает
Дексалгин 2,0 в\м хватает на 4-6 часов.
Спасибо
----------- следущая часть -----------
Вложение не в текстовом формате было извлечено…
Имя     : P6147272.JPG
Тип     : image/jpeg
Размер  : 48233 байтов
Описание: отсутствует
Url     : http://weborto.net:8080/pipermail/ortho/attachments/20070625/823adc2c/attachment-0005.jpeg 
----------- следущая часть -----------
Вложение не в текстовом формате было извлечено…
Имя     : P6147271.JPG
Тип     : image/jpeg
Размер  : 49528 байтов
Описание: отсутствует
Url     : http://weborto.net:8080/pipermail/ortho/attachments/20070625/823adc2c/attachment-0006.jpeg 
----------- следущая часть -----------
Вложение не в текстовом формате было извлечено…
Имя     : P6227277.JPG
Тип     : image/jpeg
Размер  : 29260 байтов
Описание: отсутствует
Url     : http://weborto.net:8080/pipermail/ortho/attachments/20070625/823adc2c/attachment-0007.jpeg 
----------- следущая часть -----------
Вложение не в текстовом формате было извлечено…
Имя     : P6227278.JPG
Тип     : image/jpeg
Размер  : 28805 байтов
Описание: отсутствует
Url     : http://weborto.net:8080/pipermail/ortho/attachments/20070625/823adc2c/attachment-0008.jpeg 
----------- следущая часть -----------
Вложение не в текстовом формате было извлечено…
Имя     : P6227279.JPG
Тип     : image/jpeg
Размер  : 31453 байтов
Описание: отсутствует
Url     : http://weborto.net:8080/pipermail/ortho/attachments/20070625/823adc2c/attachment-0009.jpeg 


Подробная информация о списке рассылки Ortho