[Ortho] несросшаяся шейка бедра

Anton Vakulenko anton.vakulenko на gmail.com
Вт Май 29 18:22:44 YEKST 2007


Уважаемые коллеги,
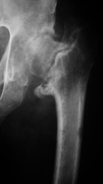
мужчина 55 лет, 1 год назад перелом шейки бедра. Лечился по месту
жительства в АВФ. Перелом несросся. Сейчас ходит с большим трудом,
опираясь на стул. На ногу не наступает. Укорочение 8 см. Иногда
беспокоит боль в паху.

Наш план:
1) удалить головку через передний доступ
2) сделать релизы м.тканей
3) скелетное вытяжение на пару недель
4) безцементное эндопротезирование через задне-боковой досутп

Вопрос: есть ли возможность избежать первой "подготовительной" операции?

Любые комментарии приветствуются!
-- 
С уважением,
А. В. Вакуленко
----------- следущая часть -----------
Вложение не в текстовом формате было извлечено…
Имя     : 1.jpg
Тип     : image/jpeg
Размер  : 11305 байтов
Описание: отсутствует
Url     : http://weborto.net:8080/pipermail/ortho/attachments/20070529/b0d97c97/attachment-0001.jpg 


Подробная информация о списке рассылки Ortho