[Ortho] несросшаяся шейка бедра

Салаватов Салават orthoforum на weborto.net
Чт Май 31 20:22:25 YEKST 2007


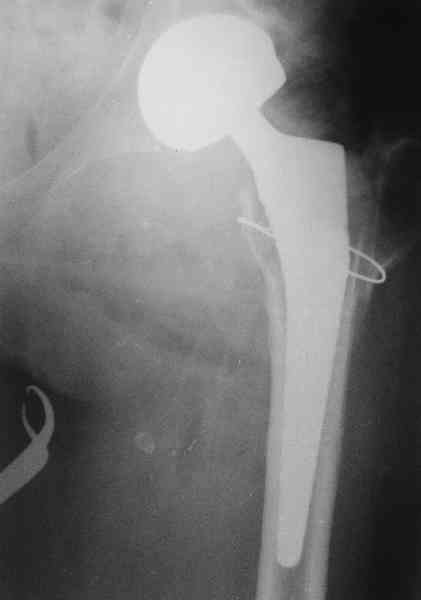
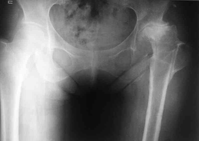
Не такое уж страшное укорочение по снимкам.Вчера прооперирован похожий
случай.Обошлись без релиза и аппаратного низведения. Укорочение было 4
сантиметра.Теперь ножки ровные. 

Салаватов Салават
----------- УМЕДХЭБС ЮБУФШ -----------
Вложение не в текстовом формате было извлечено…
Имя     : get_image2.jpg
Тип     : image/jpeg
Размер  : 5607 байтов
Описание: отсутствует
Url     : http://weborto.net:8080/pipermail/ortho/attachments/20070531/8ad20094/attachment-0002.jpg 
----------- УМЕДХЭБС ЮБУФШ -----------
Вложение не в текстовом формате было извлечено…
Имя     : get_image1.jpg
Тип     : image/jpeg
Размер  : 10039 байтов
Описание: отсутствует
Url     : http://weborto.net:8080/pipermail/ortho/attachments/20070531/8ad20094/attachment-0003.jpg 


Подробная информация о списке рассылки Ortho