[Ortho] - ?

Alexey Semenisty salut.13 gmail.com
11 17:31:28 YEKT 2007


>  Dear коллеги,
>
>
>  Хотелось бы спросить у наших коллег, уже имеющих опыт использования этих
> устройств - как оно? Стоит овчинка выделки? Не зря съездили на такой
> воркшоп? Каковы впечатления от использования этих недешевых устройств?


Мы начали применять ГЕКСАПОД для достижения репозиции в аппарате Илизарова в
мае этого года. Действительно метод замечательный, и на мой взгляд,
превращает процесс лечения в аппарате из  ремесла в высокотехнологичный
метод. Безусловно участие в Гамбургском воркшопе  оказалось полезным
особенно для тех, кто в дальнейшем приобрел и стал применять ГЕКСАПОД в
клинике.  Есть смысл ехать на воркшоп только, если видите перспективу
приобретения гексапода с програмным обеспечением и применения метода у себя
в клинике. Без самого гексапода с программой эти зниния будет некуда
применить.

Ниже привожу наш первый опыт.
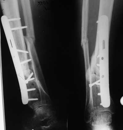
Женщина 46 лет, неудачно лечившаяся по поводу перелома голени в нижней 1\3
сначала в гипсе,  поступила через 6 месяцев после остеосинтеза пластиной
(рис 1). Имелась деформация в нижней 1\3 голени: варус, антекурвация,
наружная ротация, два свища. Удалена пластина, дебридмент мягких тканей,
остеотомия м\б кости, аппарат Илизарова. По рентгенограммам в двух проекциях
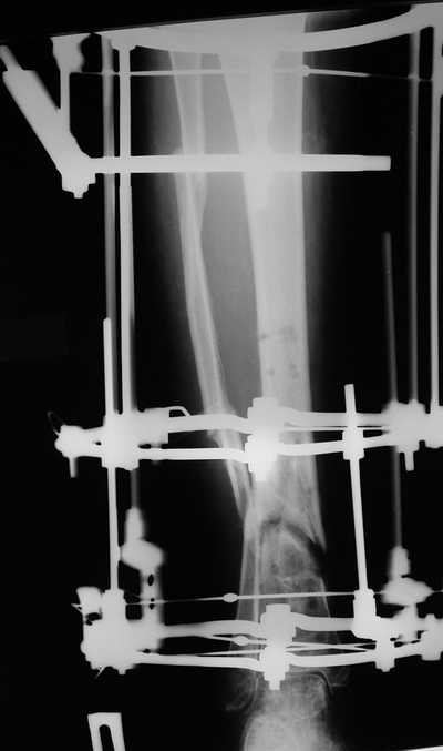
произведено планирование устранения смещений (рис 2 и 3), между вторым и
третьим кольцом установлены 6 телескопических дистракторов Гесапода, данные
введены в программу, и далее втечение 10 дней больная подкручивала телескопы
согласно выданной компьютером инструкции. По завершению репозиции
гексаподные телескопы обратно заменены на обычные штанги от аппарата
Илизарова (рис 4 и 5). Еще через две недели забит гвоздь (рис 6, контроль
через 4 месяца).


>
> --
> С уважением, А.Семенистый.
> ГКБ № 13, Москва.
-----------   -----------
Вложение в формате HTML было извлечено…
URL: http://weborto.net:8080/pipermail/ortho/attachments/20071111/d5c325c8/attachment-0001.htm 
-----------   -----------
Вложение не в текстовом формате было извлечено…
Имя     : 1.JPG
Тип     : image/jpeg
Размер  : 16441 байтов
Описание: отсутствует
Url     : http://weborto.net:8080/pipermail/ortho/attachments/20071111/d5c325c8/attachment-0006.jpeg 
-----------   -----------
Вложение не в текстовом формате было извлечено…
Имя     : 2.JPG
Тип     : image/jpeg
Размер  : 24849 байтов
Описание: отсутствует
Url     : http://weborto.net:8080/pipermail/ortho/attachments/20071111/d5c325c8/attachment-0007.jpeg 
-----------   -----------
Вложение не в текстовом формате было извлечено…
Имя     : 3.JPG
Тип     : image/jpeg
Размер  : 22149 байтов
Описание: отсутствует
Url     : http://weborto.net:8080/pipermail/ortho/attachments/20071111/d5c325c8/attachment-0008.jpeg 
-----------   -----------
Вложение не в текстовом формате было извлечено…
Имя     : 4.JPG
Тип     : image/jpeg
Размер  : 25170 байтов
Описание: отсутствует
Url     : http://weborto.net:8080/pipermail/ortho/attachments/20071111/d5c325c8/attachment-0009.jpeg 
-----------   -----------
Вложение не в текстовом формате было извлечено…
Имя     : 5.JPG
Тип     : image/jpeg
Размер  : 21653 байтов
Описание: отсутствует
Url     : http://weborto.net:8080/pipermail/ortho/attachments/20071111/d5c325c8/attachment-0010.jpeg 
-----------   -----------
Вложение не в текстовом формате было извлечено…
Имя     : 6.JPG
Тип     : image/jpeg
Размер  : 15959 байтов
Описание: отсутствует
Url     : http://weborto.net:8080/pipermail/ortho/attachments/20071111/d5c325c8/attachment-0011.jpeg 


Ortho