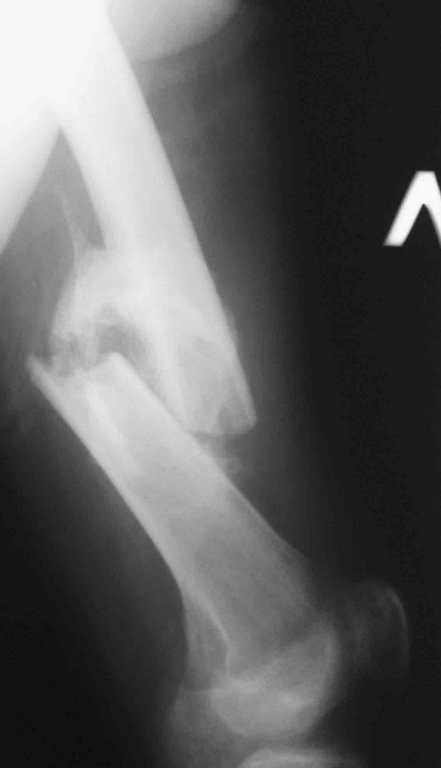
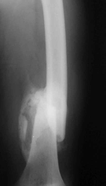
[Ortho] 32- летний пациент с переломами обоих бедер после неудачного оперативного и консервативного лечения.

orthoforum на weborto.net orthoforum на weborto.net
Вт Ноя 13 22:59:49 YEKT 2007


Иллюстрации к сообщению
Anton Andrianov



----------- следущая часть -----------
Вложение не в текстовом формате было извлечено…
Имя     : Fem L.jpg
Тип     : image/jpeg
Размер  : 34254 байтов
Описание: отсутствует
Url     : http://weborto.net:8080/pipermail/ortho/attachments/20071113/c6f7d980/attachment-0004.jpg 
----------- следущая часть -----------
Вложение не в текстовом формате было извлечено…
Имя     : Fem L 2.jpg
Тип     : image/jpeg
Размер  : 33808 байтов
Описание: отсутствует
Url     : http://weborto.net:8080/pipermail/ortho/attachments/20071113/c6f7d980/attachment-0005.jpg 
----------- следущая часть -----------
Вложение не в текстовом формате было извлечено…
Имя     : fem R.jpg
Тип     : image/jpeg
Размер  : 31840 байтов
Описание: отсутствует
Url     : http://weborto.net:8080/pipermail/ortho/attachments/20071113/c6f7d980/attachment-0006.jpg 
----------- следущая часть -----------
Вложение не в текстовом формате было извлечено…
Имя     : femR 2.jpg
Тип     : image/jpeg
Размер  : 34379 байтов
Описание: отсутствует
Url     : http://weborto.net:8080/pipermail/ortho/attachments/20071113/c6f7d980/attachment-0007.jpg 


Подробная информация о списке рассылки Ortho