[Ortho] Локтевой отросток

orthoforum на weborto.net orthoforum на weborto.net
Ср Ноя 14 23:03:58 YEKT 2007


Здравствуйте коллеги!
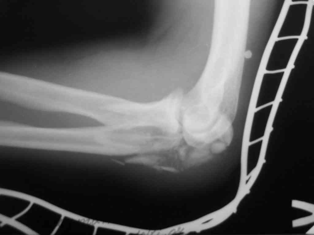
Поступил больной с Диагнозом:Закрытый оскольчатый  перелом локтевого 
отростка слева.

С таким перелом встретились в первый раз.
У какого есть опыт подскажите:
1.Хватит ли стандартного доступа (как при банальных переломах)
2.Выбор фиксатора?
3.Нюансы по ходу операции.
Спасибо за  внимание. (P.S извините за качество снимков)

Владимир Бахарев



----------- следущая часть -----------
Вложение не в текстовом формате было извлечено…
Имя     : 7.jpg
Тип     : image/jpeg
Размер  : 22243 байтов
Описание: отсутствует
Url     : http://weborto.net:8080/pipermail/ortho/attachments/20071114/e187c531/attachment-0001.jpg 


Подробная информация о списке рассылки Ortho