[Ortho] Локтевой отросток

orthoforum на weborto.net orthoforum на weborto.net
Пт Ноя 16 00:09:20 YEKT 2007


При самом большом к Вам уважении, Сергей Анатольевич, не соглашусь. У 
меня, после того, как добавили "прямой" снимок, сомнений не осталось. 
Венечный сломан наверняка. Но чтобы судить, насколько это критично для 
стабильности, нужно иметь строго боковую проекцию. И при этом помнить, 
что на него крепятся медиальные связки.

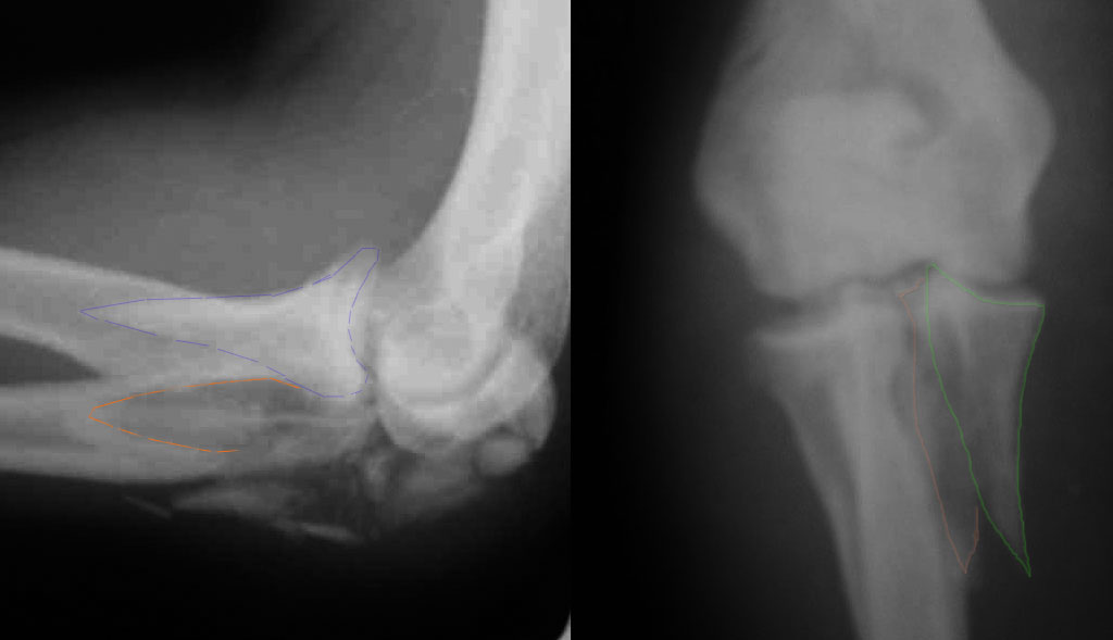
Прикрепляю снимок, где обведен фрагмент, несущий на себе венечный 
отросток (весь он смещён с этим фрагментом или частично - без 
качественной боковой проекции судить сложно), и отдельно на снимке 
обведено "ложе", от которого он сместился.

Почему я в данном случае против Вебера (хотя обычно горячий сторонник)? 
Да потому, что спицам нередко не хватает жёсткости, чтобы удержать 
предплечье от волярного подвывиха. При таком оскольчатом переломе спицы 
порой просто "прогибаются" за счёт одного только натяжения проволочной 
петли и головка луча может уйти в волярный подвывих (может, конечно, и 
не уйти). Но я бы предпочёл фиксировать всё к жёсткой пластине (включая 
фрагмент с венечным отростком) и, по возможности, исключить 
послеоперационную внешнюю иммобилизацию. Накладывать на такой локоть 
после операции гипс -- означает обрекать его на тяжёлую контрактуру.

Головка луча, кстати, на мой взгляд цела.

С искренним уважением
Лединников Игорь.



----------- следущая часть -----------
Вложение не в текстовом формате было извлечено…
Имя     : 003.jpg
Тип     : image/jpeg
Размер  : 38046 байтов
Описание: отсутствует
Url     : http://weborto.net:8080/pipermail/ortho/attachments/20071116/b133432e/attachment-0001.jpg 


Подробная информация о списке рассылки Ortho