[Ortho] Локтевой отросток

orthoforum на weborto.net orthoforum на weborto.net
Ср Ноя 21 00:18:23 YEKT 2007


При лечении переломов локтевого отростка положение больного на 
операционном столе подсказывается наличием дополнительных переломов, 
например при переломах таза или ацетабулум предпочтительное положение на 
спине.

При отсутствии других переломов мы предпочитаем положение больного на 
боку, рука на подставке,  согнутая в локтевом суставе. Удобно для 
операторов и легко для рентгенологического контроля.

Предпочитаем обычный стандартный задний доступ, разрез кожи от кончика 
локтевого отростка на длину применяемого импланта.

Для доступа к венечному отростку, при наличии перелома локтевого 
отростка не обязательно проведение дополнительной остеотомии медиального 
надмышелка. Сссылка
http://www.maitrise-orthop.com/corpusmaitri/orthopaedic/arthrocoude_actu/arthrolyse_us.shtml
.

Обычный стандартный доступ позволяет провести полную ревизию сустава, 
через  фрагменты отломков открывается доступ к венечному отростку и 
имеется возможность репозиции с окончательной фиксацией. В книге "AO 
Principles of Fracture Management" описаны методика и варианты фиксации.

Для фиксации перелома локтевого отростка на сегодня множество 
преконтурных с блокирующими возможностями пластин.
Стабильную фиксацию, особенно при оскольчатых переломах, можно добиться, 
применяя технику Bridge Plate, и за счет тех пластин, где имеется 
возможность проведения множественных шурупов (2.7 мм) проксимально.

Предложенные реконструктивные пластины в 3.5 мм идеальны для фиксации 
при отрывном или флексионном переломе, когда имеется большой фрагмент.

Техника Weber или Tension Wire Technique, все нансы описаны на лекции 
James Goulet на сайте Basic Fracture Course 
http://www.hwbf.org/ota/bfc/goulet/exp.htm
из-за многооскольчатости неприемлемы для данного случая.

Несмотря на дешевизну, всего две спицы и проволока, создается хорошая 
компрессия, но имеются множественные случаи ранней миграции спиц.

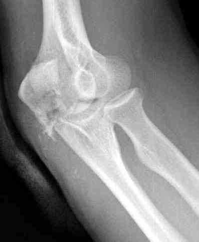
Здесь выставлены несколько случаев и варианты фиксации локтевого 
отростка, некоторые в комбинации с другими переломами.
1 вариант применен ACUMED локинг пластина



Djoldas Kuldjanov, MD
Department of Orthopedic Surgery
St. Louis University Medical Center




----------- следущая часть -----------
Вложение не в текстовом формате было извлечено…
Имя     : 1 olecranon injury lat 2.jpg
Тип     : image/jpeg
Размер  : 16317 байтов
Описание: отсутствует
Url     : http://weborto.net:8080/pipermail/ortho/attachments/20071121/9a993135/attachment-0006.jpg 
----------- следущая часть -----------
Вложение не в текстовом формате было извлечено…
Имя     : 2 olecranon injury AP 1.jpg
Тип     : image/jpeg
Размер  : 17944 байтов
Описание: отсутствует
Url     : http://weborto.net:8080/pipermail/ortho/attachments/20071121/9a993135/attachment-0007.jpg 
----------- следущая часть -----------
Вложение не в текстовом формате было извлечено…
Имя     : 3 olecranon prelim fixation 3.jpg
Тип     : image/jpeg
Размер  : 17512 байтов
Описание: отсутствует
Url     : http://weborto.net:8080/pipermail/ortho/attachments/20071121/9a993135/attachment-0008.jpg 
----------- следущая часть -----------
Вложение не в текстовом формате было извлечено…
Имя     : 4 olecranon lat CRM 4.jpg
Тип     : image/jpeg
Размер  : 16857 байтов
Описание: отсутствует
Url     : http://weborto.net:8080/pipermail/ortho/attachments/20071121/9a993135/attachment-0009.jpg 
----------- следущая часть -----------
Вложение не в текстовом формате было извлечено…
Имя     : 5 olecranon lat CRM 5.jpg
Тип     : image/jpeg
Размер  : 18701 байтов
Описание: отсутствует
Url     : http://weborto.net:8080/pipermail/ortho/attachments/20071121/9a993135/attachment-0010.jpg 
----------- следущая часть -----------
Вложение не в текстовом формате было извлечено…
Имя     : 6 olecranon PO AP.jpg
Тип     : image/jpeg
Размер  : 16110 байтов
Описание: отсутствует
Url     : http://weborto.net:8080/pipermail/ortho/attachments/20071121/9a993135/attachment-0011.jpg 


Подробная информация о списке рассылки Ortho