[Ortho] разрыв лонного сочленения

Алексей Смирнов asmirnov на sandy.ru
Пт Ноя 23 00:29:35 YEKT 2007


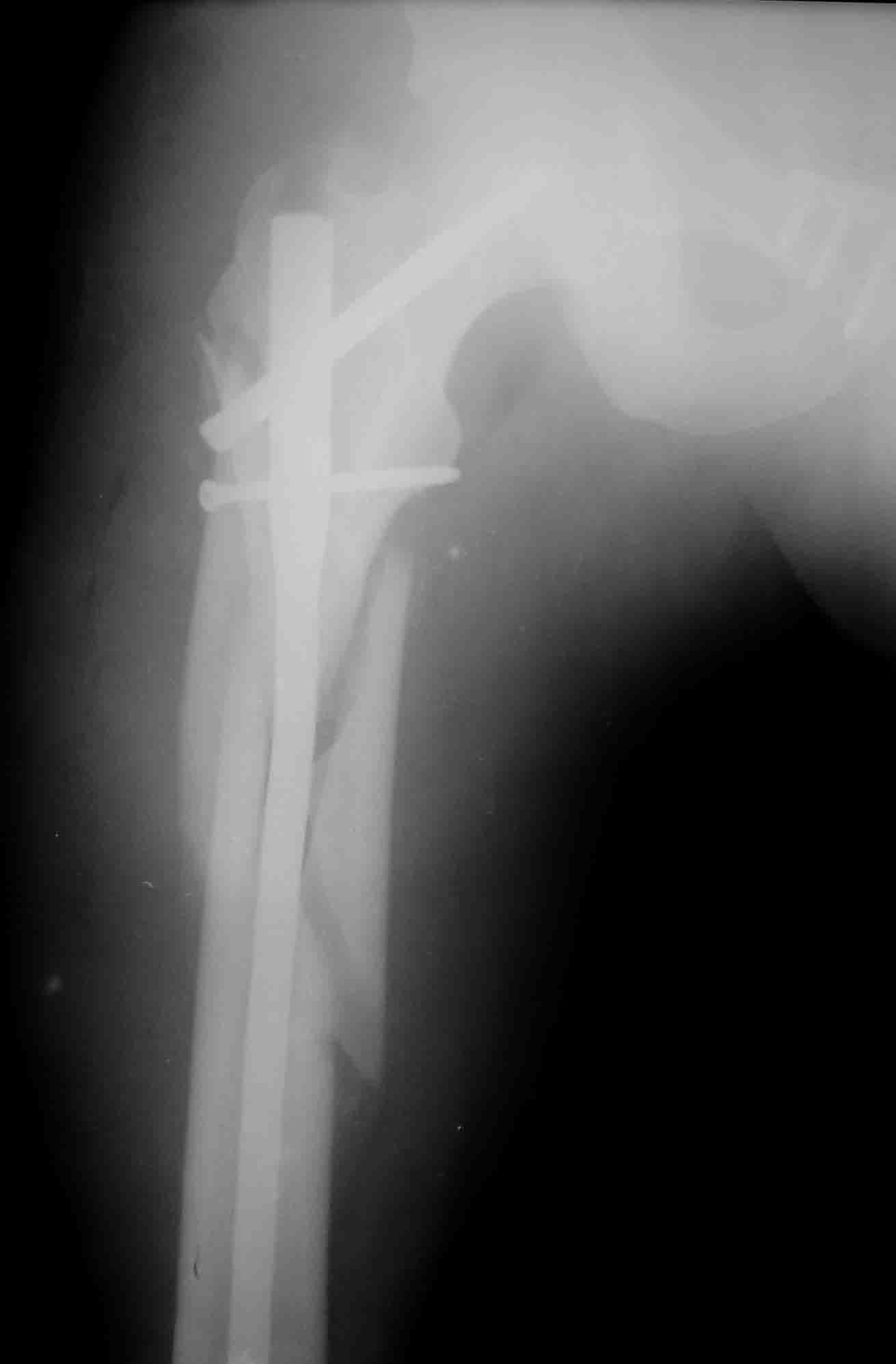
----- Вот вариант решения похожей ситуации
----------- УМЕДХЭБС ЮБУФШ -----------
Вложение не в текстовом формате было извлечено…
Имя     : 1.jpg
Тип     : application/octet-stream
Размер  : 45382 байтов
Описание: отсутствует
Url     : http://weborto.net:8080/pipermail/ortho/attachments/20071122/26706052/attachment-0005.obj 
----------- УМЕДХЭБС ЮБУФШ -----------
Вложение не в текстовом формате было извлечено…
Имя     : 2.jpg
Тип     : application/octet-stream
Размер  : 36697 байтов
Описание: отсутствует
Url     : http://weborto.net:8080/pipermail/ortho/attachments/20071122/26706052/attachment-0006.obj 
----------- УМЕДХЭБС ЮБУФШ -----------
Вложение не в текстовом формате было извлечено…
Имя     : 3.jpg
Тип     : application/octet-stream
Размер  : 45174 байтов
Описание: отсутствует
Url     : http://weborto.net:8080/pipermail/ortho/attachments/20071122/26706052/attachment-0007.obj 
----------- УМЕДХЭБС ЮБУФШ -----------
Вложение не в текстовом формате было извлечено…
Имя     : 4.jpg
Тип     : application/octet-stream
Размер  : 50672 байтов
Описание: отсутствует
Url     : http://weborto.net:8080/pipermail/ortho/attachments/20071122/26706052/attachment-0008.obj 
----------- УМЕДХЭБС ЮБУФШ -----------
Вложение не в текстовом формате было извлечено…
Имя     : 5.jpg
Тип     : application/octet-stream
Размер  : 47244 байтов
Описание: отсутствует
Url     : http://weborto.net:8080/pipermail/ortho/attachments/20071122/26706052/attachment-0009.obj 


Подробная информация о списке рассылки Ortho