[Ortho] The patient with genu recurvatum

orthoforum на weborto.net orthoforum на weborto.net
Сб Ноя 24 21:39:43 YEKT 2007


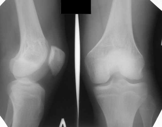
Больной Н., мужчина 18 лет с укорочением бедра и рекурвацией коленного 
сустава.


Руслан Салимов



----------- следущая часть -----------
Вложение не в текстовом формате было извлечено…
Имя     : 2.jpg
Тип     : image/jpeg
Размер  : 39849 байтов
Описание: отсутствует
Url     : http://weborto.net:8080/pipermail/ortho/attachments/20071124/6244a842/attachment-0003.jpg 
----------- следущая часть -----------
Вложение не в текстовом формате было извлечено…
Имя     : 3.jpg
Тип     : image/jpeg
Размер  : 46379 байтов
Описание: отсутствует
Url     : http://weborto.net:8080/pipermail/ortho/attachments/20071124/6244a842/attachment-0004.jpg 
----------- следущая часть -----------
Вложение не в текстовом формате было извлечено…
Имя     : 4.jpg
Тип     : image/jpeg
Размер  : 22864 байтов
Описание: отсутствует
Url     : http://weborto.net:8080/pipermail/ortho/attachments/20071124/6244a842/attachment-0005.jpg 


Подробная информация о списке рассылки Ortho