[Ortho] Distal femur non union

orthoforum на weborto.net orthoforum на weborto.net
Вт Ноя 27 00:26:56 YEKT 2007


A question for the list members.

16 yr old boy, high energy motorcycle trauma trauma in July 2005 with:
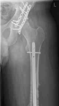
- hip dislocation + acetabular fracture L
- distal femoral fracture L
- tibial shaft fracture L
- metatarsal fractures L

Treatment:
july 05: LISS femur, LCP plate tibia, double recon. plate post. acetabulum
oct 05: cancellous bone graft femur
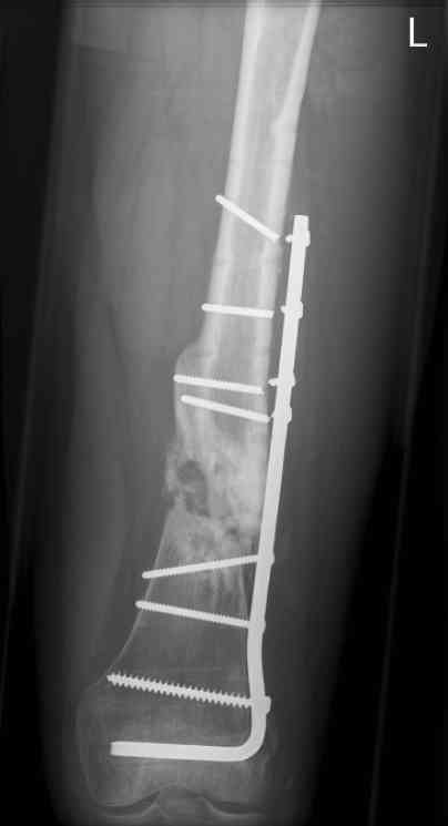
aug 06: blade plate + bone graft
nov 06: revision blade plate
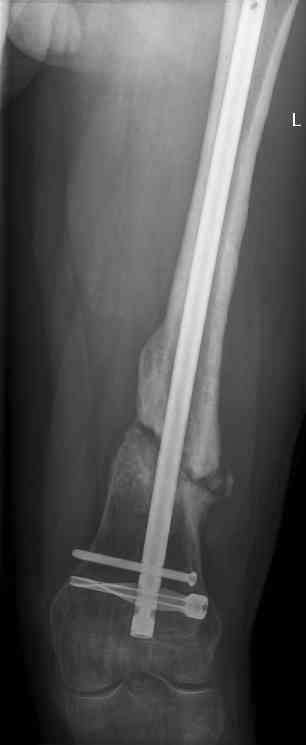
feb 07: retrograde nail + bone graft + BMP
may 07: dynamisation nail
sept 07: locking screw removal (max. dynamisation reached)
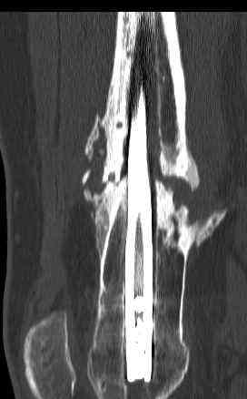
nov 07: persistant non-union distal femur; other fractures healed 
uneventfully.
All with gradual/partial weightbearing etc. Currently 50-100% weight 
bearing, no pain.
Soft tissues are intact. No smoking or diabetes.
CRP <2

What would you do?

Kind regards,
Carel Goslings
Trauma Unit AMC
Amsterdam, NL
----------- следущая часть -----------
Вложение не в текстовом формате было извлечено&hellip;
Имя     : 01 - july 05.jpg
Тип     : image/jpeg
Размер  : 2177 байтов
Описание: отсутствует
Url     : http://weborto.net:8080/pipermail/ortho/attachments/20071127/5bcc3ff3/attachment-0016.jpg 
----------- следущая часть -----------
Вложение не в текстовом формате было извлечено&hellip;
Имя     : 02 - july 05.jpg
Тип     : image/jpeg
Размер  : 8923 байтов
Описание: отсутствует
Url     : http://weborto.net:8080/pipermail/ortho/attachments/20071127/5bcc3ff3/attachment-0017.jpg 
----------- следущая часть -----------
Вложение не в текстовом формате было извлечено&hellip;
Имя     : 03 - july 05.jpg
Тип     : image/jpeg
Размер  : 5150 байтов
Описание: отсутствует
Url     : http://weborto.net:8080/pipermail/ortho/attachments/20071127/5bcc3ff3/attachment-0018.jpg 
----------- следущая часть -----------
Вложение не в текстовом формате было извлечено&hellip;
Имя     : 04 - aug 06.jpg
Тип     : image/jpeg
Размер  : 3234 байтов
Описание: отсутствует
Url     : http://weborto.net:8080/pipermail/ortho/attachments/20071127/5bcc3ff3/attachment-0019.jpg 
----------- следущая часть -----------
Вложение не в текстовом формате было извлечено&hellip;
Имя     : 05 - aug 06.jpg
Тип     : image/jpeg
Размер  : 3101 байтов
Описание: отсутствует
Url     : http://weborto.net:8080/pipermail/ortho/attachments/20071127/5bcc3ff3/attachment-0020.jpg 
----------- следущая часть -----------
Вложение не в текстовом формате было извлечено&hellip;
Имя     : 06 - aug 06.jpg
Тип     : image/jpeg
Размер  : 3077 байтов
Описание: отсутствует
Url     : http://weborto.net:8080/pipermail/ortho/attachments/20071127/5bcc3ff3/attachment-0021.jpg 
----------- следущая часть -----------
Вложение не в текстовом формате было извлечено&hellip;
Имя     : 07 - nov 06.jpg
Тип     : image/jpeg
Размер  : 8606 байтов
Описание: отсутствует
Url     : http://weborto.net:8080/pipermail/ortho/attachments/20071127/5bcc3ff3/attachment-0022.jpg 
----------- следущая часть -----------
Вложение не в текстовом формате было извлечено&hellip;
Имя     : 08 - nov 06.jpg
Тип     : image/jpeg
Размер  : 3219 байтов
Описание: отсутствует
Url     : http://weborto.net:8080/pipermail/ortho/attachments/20071127/5bcc3ff3/attachment-0023.jpg 
----------- следущая часть -----------
Вложение не в текстовом формате было извлечено&hellip;
Имя     : 09 - feb 07.jpg
Тип     : image/jpeg
Размер  : 8126 байтов
Описание: отсутствует
Url     : http://weborto.net:8080/pipermail/ortho/attachments/20071127/5bcc3ff3/attachment-0024.jpg 
----------- следущая часть -----------
Вложение не в текстовом формате было извлечено&hellip;
Имя     : 10 - feb 07.jpg
Тип     : image/jpeg
Размер  : 2846 байтов
Описание: отсутствует
Url     : http://weborto.net:8080/pipermail/ortho/attachments/20071127/5bcc3ff3/attachment-0025.jpg 
----------- следущая часть -----------
Вложение не в текстовом формате было извлечено&hellip;
Имя     : 11 - feb 07.jpg
Тип     : image/jpeg
Размер  : 3109 байтов
Описание: отсутствует
Url     : http://weborto.net:8080/pipermail/ortho/attachments/20071127/5bcc3ff3/attachment-0026.jpg 
----------- следущая часть -----------
Вложение не в текстовом формате было извлечено&hellip;
Имя     : 12 - feb 07.jpg
Тип     : image/jpeg
Размер  : 2775 байтов
Описание: отсутствует
Url     : http://weborto.net:8080/pipermail/ortho/attachments/20071127/5bcc3ff3/attachment-0027.jpg 
----------- следущая часть -----------
Вложение не в текстовом формате было извлечено&hellip;
Имя     : 13 - sept 07.jpg
Тип     : image/jpeg
Размер  : 10281 байтов
Описание: отсутствует
Url     : http://weborto.net:8080/pipermail/ortho/attachments/20071127/5bcc3ff3/attachment-0028.jpg 
----------- следущая часть -----------
Вложение не в текстовом формате было извлечено&hellip;
Имя     : 14 - sept 07.jpg
Тип     : image/jpeg
Размер  : 8838 байтов
Описание: отсутствует
Url     : http://weborto.net:8080/pipermail/ortho/attachments/20071127/5bcc3ff3/attachment-0029.jpg 
----------- следущая часть -----------
Вложение не в текстовом формате было извлечено&hellip;
Имя     : 15 - nov 07.jpg
Тип     : image/jpeg
Размер  : 6670 байтов
Описание: отсутствует
Url     : http://weborto.net:8080/pipermail/ortho/attachments/20071127/5bcc3ff3/attachment-0030.jpg 
----------- следущая часть -----------
Вложение не в текстовом формате было извлечено&hellip;
Имя     : 16 - nov 07.jpg
Тип     : image/jpeg
Размер  : 9154 байтов
Описание: отсутствует
Url     : http://weborto.net:8080/pipermail/ortho/attachments/20071127/5bcc3ff3/attachment-0031.jpg 


Подробная информация о списке рассылки Ortho